
AI Coverage
Latest News

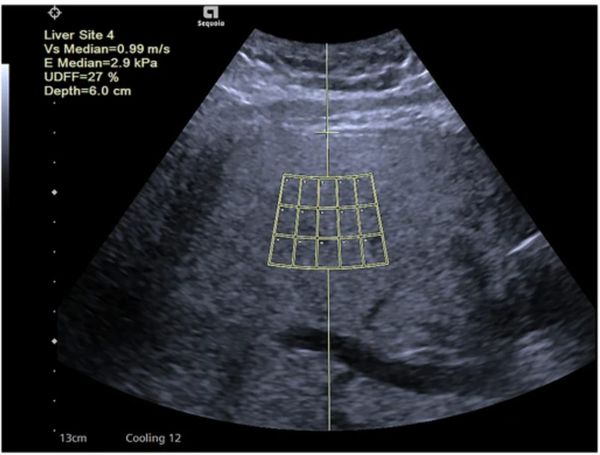
Can Ultrasound-Derived Fat Fraction Provide a Viable Alternative for Quantifying Hepatic Steatosis?

FDA Grants De Novo Approval for Home Use of Prenatal Ultrasound Platform

‘How Did That Happen?’: Course Correction Versus Consternation in Radiology

Diagnostic Imaging’s Weekly Scan: October 26 — November 1

Emerging Trends with Radiology Practice Closures Point to Increased Subspecialization

Shorts






Podcasts
Videos
Continuing Medical Education
All News

Expanded capabilities for the Sirona Advanced Imaging Suite reportedly include quantitative SUV analysis and multiplanar reconstruction for PET/CT imaging.

Catch up on the most-well viewed prostate cancer imaging content in October 2025.

Catch up on the most well-viewed breast imaging content in October 2025.

The AI-powered cvi42 | Plaque software enables adjunctive on-site interpretation of coronary CT angiography (CCTA) scans for plaque quantification.

Catch up on the most-well viewed radiology content in October 2025.

The newly launched PlaqueIQ™ image analysis modality is reportedly the first CT-based software indicated for the quantification and classification of plaque morphology in the carotid arteries.

For patients with esophageal cancer, preoperative MRI demonstrated an average AUC above 94 percent for detecting tracheal invasion in contrast to an AUC range between 52.9 and 70.6 percent for CT, according to a recently published study.

The Paradise Ultrasound Renal Denervation System has demonstrated efficacy and a favorable safety profile in randomized controlled trials for the treatment of mild, moderate and resistant hypertension.

In a retrospective analysis of triennial screening mammograms for 134,217 women, a deep learning model offered comparable assessment of interval breast cancer risk across differences in age and breast density.

The AI-enabled e-Lung software may lead to significantly improved and earlier detection of progressive pulmonary fibrosis, even in patients deemed clinically stable, according to new research recently presented at the American College of Chest Physicians (CHEST) conference.

While teleradiologists with flexible schedules may be the target of jealousy and vitriol on social media, the opportunities for improved work-life balance and increased flexibility are welcomed by others.

Offering real-time, high-resolution ultrasound imaging for a range of procedures, the zero-capex Intracardiac Imaging System reportedly facilitates workflow efficiencies and reduced costs.

New research on photon-counting computed tomography in 2025 reveals increasing capabilities of the technology to enhance CT visualization and characterization with significant reductions in radiation dosing in cardiovascular imaging, abdominal imaging and other diagnostic applications.

Catch up on the top radiology content of the past week.

Designed for use in saline contrast echocardiography, the ASI-02 modality is currently being evaluated in a multicenter, randomized trial for patients undergoing transthoracic echocardiography (TTE).








































