
The tools incorporate a patient’s own clinical characteristics to identify which individuals with early-stage breast cancer will experience cancer spread and which will potentially have disease-free survival.
Whitney J. Palmer has been with Diagnostic Imaging since 2011, serving as the Senior Editor since November 2019. She has 20 years experience in healthcare and academic medicine reporting.

The tools incorporate a patient’s own clinical characteristics to identify which individuals with early-stage breast cancer will experience cancer spread and which will potentially have disease-free survival.

Younger and African American patients face significantly increased odds of having their symptoms associated with radiation therapy under-treated by providers.

Low-dose CT screening for lung cancer does present risks of false-positives and over-diagnosis, but for heavy or ex-smokers, it is worth it.

Examine a patient’s face mask prior to scanning as nose clips, headband staples, or other components can contain metal, potentially leading to facial burns during MRI scans.

What other ethical questions exist, and what the future holds.

Machine learning can pinpoint specific activity patterns in the brain that could lead to more targeted therapies.

Here's what to expect this week on Diagnostic Imaging.

The 16-channel head adaptive image receive radiofrequency coil opens the door for greater comfort and future coil design improvements.

DECT and electron density offers more accurate differentiation between metastatic and non-metastatic lymph nodes when compared to FDG PET/CT.

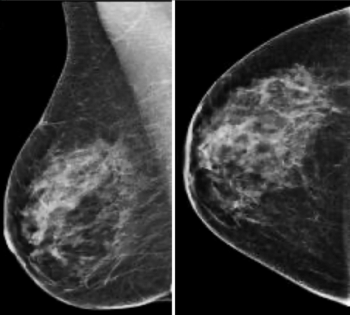
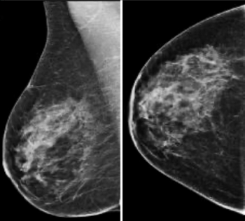
The improved cancer detection rate that catches more cancers with favorable prognoses and the lower false negative rates, improves patient outcomes and puts DBT on track to replace 2D mammography as the gold standard for screening.

Are radiologists approaching AI ethically, and what challenges exist.

Nina Kottler, M.D., chief medical officer of AI at Radiology Partners, discusses, during RSNA 2020, what new developments the annual meeting provided about these technologies, sessions to access, and what to expect in the coming year.

Differences in cortical thickness development correlates to cognitive differences and could be involved in increased risk for mental illness.

Jorge Soto, M.D., and Maureen Kohi, M.D., discuss how unconscious bias presents in radiology and the tools that providers can use to recognize and minimize the biases when they appear.

Rich Heller, M.D., with Radiology Partners, and Lucy Spalluto, M.D., with Vanderbilt University School of Medicine, discuss the highlights of their RSNA 2020 session on health disparities, focusing on the underlying factors and challenges radiologists face to providing greater access to care.

Novel deep learning model can provide needed information from multi-modal imaging even when some modalities are absent.

7T MRI and MR-Guided Focused Ultrasound present new clinical opportunities in the pipeline.

Whether a patient has a pulmonary embolism, a higher-than-normal D-dimer value can help identify patients for whom CTPA is most appropriate, alleviating some workload from emergency radiology.

Hologic’s Jennifer Meade, division president of breast and skeletal care, discusses the focus for breast imaging in the near future and some latest technologies.

Using deep learning analysis with abdominal CT scans provides a more accurate body composition measurement that can predict which patients will suffer major cardiovascular events within five years.

Conducting screening mammography on men with a genetic risk for breast cancer can increase early detection, but clinical guidance and recommendations remain inconsistent.

Using high-resolution micro-CT with bones exposed to fire could help forensic investigators determine the timing of murders.

The mechanisms, magnitude, manifestations, and management of stroke during the pandemic.

Anastasia Hryhorczuk, M.D., assistant clinical professor of radiology at Michigan Medicine, discusses, during RSNA 2020, the challenges that face radiology with sexual harassment and some strategies to eliminate it.

Bright years are ahead for the industry, according to industry expert Bhavya Rehani, M.D., if focus is given to selfless service, education, technology and innovation, and engaging the global community.

Advanced imaging can help pinpoint the location and cause of lingering nerve damage in patients who have recovered from the virus.

Capturing the scan can reduce number of repeat surgeries and pinpoint additional cancers.

Implementing artificial intelligence tools with breast imaging can pinpoint overlooked interval cancers and decrease provider workload in screening mammography programs.

MRI shows injections can both accelerate healing time and improve range of motion.

What’s critical, and what radiologists can do.