
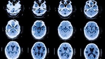
Software provides annotated and segmented brain images captured by Hyperfine’s portable MRI system.
Whitney J. Palmer has been with Diagnostic Imaging since 2011, serving as the Senior Editor since November 2019. She has 20 years experience in healthcare and academic medicine reporting.

Software provides annotated and segmented brain images captured by Hyperfine’s portable MRI system.

COVID-19 and Long-Term Lung Effects; Reduce Emergency Department Imaging Recalls; COVID-19, Myocarditis, and Athletes; Plus, New Recommendation for X-ray Gonad Shielding

Suspicious lesions that develop during neoadjuvant therapy are uncommon, and they are highly unlikely to be malignant.

A pilot study intervention successfully provides mammograms for patients who face screening challenges.

A new magnetic resonance spectroscopy technique can accurately measure how well the mitochondria are functioning in this patient group, potentially facilitating more effective therapies.

Mary C. Mahoney, M.D., the new president for the Radiology Society of North America offers her insights into what awaits radiology and the role the Society will play in continuing the specialty to grow, expand, and improve.

Based on imaging and other factors, researchers determine that lung health recovery is not linked to severity of COVID-19 illness.

More women are learning about their breast density levels, but the rates still remain low.

Research shows incorporating an attending radiologist into after-hours call can reduce the recall rate by nearly 90 percent.

A volumetric analysis of lung consolidation can help providers make care management decisions and, potentially, pinpoint which patients are most likely to die in the hospital.

Research shows African Americans and rural residents undergo fewer CT and MRI scans.

Here's what to expect this week on Diagnostic Imaging.

New study, comparing recovered athletes to healthy controls, reveals a lower level of myocarditis that previously published research, but cardiac MRI is still important for safe return-to-play decisions.

By targeting the subthalamus, providers can help alleviate symptoms for patients whose Parkinson’s is not controlled with medication and who are not candidates for traditional brain surgery.

GLIDE Technology ™ is designed to provide individualized, motorized assistance to X-ray technologists, potentially reducing injuries and shortening exam time.

COVID-19 Damage, but No Virus in the Brain; Non-Ferromagnetic Bullets and the MRI; Six Trends to Watch in 2021; and AI and Ethics

Pathological tumor size is frequently under-estimates the size of prostate tumors, particularly smaller tumors.

Study finds significant duplicate efforts to determine the most common imaging findings of the virus in children.

Five-year contract furthers the companies’ existing partnership.

Using findings captured on CT scans, radiologists can improve the planning and outcomes for this surgery, improving the care of transgender women.

These measurements can be used to predict at three months which patients will develop post-traumatic stress disorder after traumatic brain injury.

It’s a New Year – what should you keep your eyes on and where should you anticipate change?

As imaging volumes continue to rise, experts offer a targeted solution that could lead to faster throughput.

PET scans show activity of the brain network that is linked to changes in connectedness.

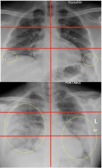
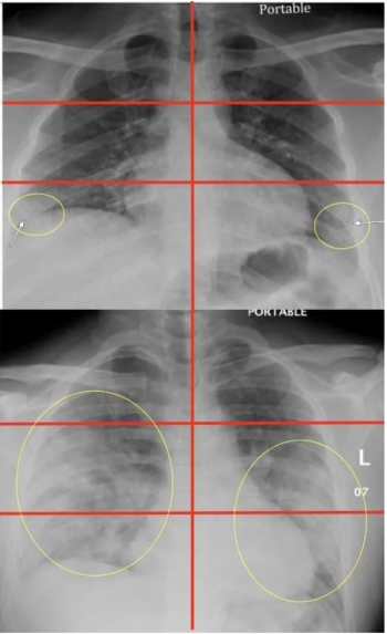
Radiologists can use X-rays and CT scans to identify features left by non-ferromagnetic ballistic fragments, opening the door to MRI imaging for some patients.

The Journal of the American College of Radiology tackles the provocative in its first issue of 2021.

In a $64-million deal, Hologic has acquired SOMATEX Medical Technologies GmbH, effectively expanding its breast health care solutions capabilities.

Here's what to expect this week on Diagnostic Imaging.

Study shows blood vessel damage and inflammation in the brain, but no evidence of SARS-CoV-2.

What were most popular stories with X-ray this year?