
MRI scans reveal myocarditis, scarring, infarction, and ischemia in recovered patients with elevated troponin levels.
Whitney J. Palmer has been with Diagnostic Imaging since 2011, serving as the Senior Editor since November 2019. She has 20 years experience in healthcare and academic medicine reporting.

MRI scans reveal myocarditis, scarring, infarction, and ischemia in recovered patients with elevated troponin levels.

Using MRI to evaluate a pediatric patient for appendicitis offers several benefits, but using it comes with hefty trade-offs, as well, experts say.

CT, MRI, and ultrasound images reveal the myriad of ways the virus prompts the body to attack itself – with this knowledge, radiologists can better contribute to treatment planning.

Under new information-blocking rules, practices must take steps to accelerate the timeline for releasing imaging reports to patients.

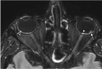
First brain MRI findings reveal dangerous COVID-19-related optical findings.

Using radiomics to assess impact of unconventional risk factors, including cocaine use and HIV infection, potentially introduces a “brave new world” of precision phenotyping in CAD.

Using MRI – rather than CT – for post-surgical monitoring can effectively detect cancer relapse without exposing men to unnecessary radiation.

Here's what to expect this week on Diagnostic Imaging.

The currently acceptable 12 percent-to-14 percent recall rate is too high to maximize cancer detection and minimize biopsies and unnecessary follow-up studies.

Four leadership organizations are advocating for two codes that could go into effect in 2022.

Radiology’s technology advances threaten to push the specialty back into the dark – here is what providers need to pay attention to.

Results show bi-parametric MRI not only shortens scan times and eliminates gadolinium exposure, but it also finds more clinically significant prostate cancers.

COVID-19 Vaccine-Related Adenopathies on Breast MRI; Baseline Mammography at 40; Cherenkov Imaging to Improve Radiation Therapy Improvement; and Sexual Harassment and Gender Discrimination in Radiology

The alliance is calling for all third-party medical equipment servicers to be required to register with – and abide by regulations from – the FDA.

These radiopharmaceuticals are less expensive, and they offer longer half-lives.

Advocacy group urges changes for increased patient safety and device performance.

Not all radiologists adhere to practice guidelines that direct providers how to respond to the presence of pulmonary nodules.

New consensus document pulls from updated evidence and data, answering key questions on use.

Study shows that baseline mammography screening to identify breast density, starting at age 40, is cost-effective.

After more than two decades, women between ages 20 and 39 are seeing a slight increase in the rates of breast cancer mortality.

Cherenkov imaging uses special BeamSite cameras to capture radiation beam interaction with tissue, making radiation oncology treatments a visual process.

Here's what to expect this week on Diagnostic Imaging.

Functionality improves patient care by allowing secure image share with providers before technologists leave patients.

The Hospital of the University of Pennsylvania offers guidance – BI-RADS scoring and follow-up recommendations – for unilateral axillary lymphadenopathies seen on breast MRI in women who have received the vaccine.

Clinical trial results show MRI as more accurate and less intrusive at diagnosis for men with a clinical suspicion of prostate cancer.

Female breast cancer diagnosis is now the most common cancer diagnosis globally, largely affecting women in transitioning countries.

Low-Dose CT Screening for Never Smokers; PET Imaging and Hormone Therapy; Opportunities, Responsibilities, and Challenges for Women in Radiology; and Advances in Thyroid Cancer Imaging

Using imaging to screen asymptomatic individuals can cause more potential harm than good, Task Force reiterates.

Research MRI images reveal information in 61-year-old COVID-19-positive patient that is similar to that captured by CT.

On National Women Physicians Day, RadPartners will host a webinar to discuss how healthcare can move toward a more diverse, inclusive culture.