
Hormone therapy is only effective in roughly half of estrogen receptor-positive cancers. Being able to identify patients that will not respond could save valuable treatment time.
Whitney J. Palmer has been with Diagnostic Imaging since 2011, serving as the Senior Editor since November 2019. She has 20 years experience in healthcare and academic medicine reporting.

Hormone therapy is only effective in roughly half of estrogen receptor-positive cancers. Being able to identify patients that will not respond could save valuable treatment time.

Men with intermediate-risk prostate cancer can be successfully treated with MRI-guided high-intensity focused ultrasound without experiencing incontinence or erectile dysfunction.

Prognosis for these patients is poor, but MRI can help providers reliably stage their disease.

Research data reveals using LDCT with patients who have never smoked – but who are still at high risk – is effective for lung cancer screening.

Here's what to expect this week on Diagnostic Imaging.

The latest social media networking platform offers greater opportunities for radiology.

Perivascular Spaces & Dementia; COVID-19 Loss of Smell and Taste; NAFLD & Multi-parametric CT; Plus, Point-of-Care Ultrasound in the Pandemic Era

Across X-ray, CT, ultrasound, and MRI, as well as insurance types, African American and Hispanic children get fewer tests than white children.

When deciding whether to continue screening mammography with older breast cancer survivors, consider life expectancy, experts said.

Six-month follow-up CT scans show lingering fibrotic-like feature in more than one-third of recovered patients.

Pairing patient-reported data about pain symptoms with an MRI image can lead to better identification of pain’s origin.

Large numbers of perivascular spaces seen in the brain are more commonly found in patients who go on to develop cognitive problems or dementia.

A focus on more comprehensive, up-to-date research and inclusion of racial disparities data will lead to more appropriate mammography screening guidelines, experts say.

Portfolio includes 2D- and 3D-products for general and sub-specialty radiology.

With more axillary adenopathies likely to present on breast imaging, Society of Breast Imaging experts offer guidance for best management during the pandemic.

CT can provide faster, easier-to-capture evidence of non-alcoholic fatty liver disease than MRI or ultrasound elastography.

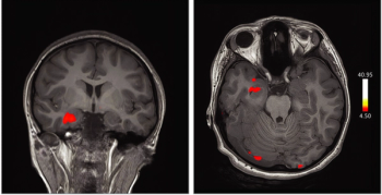
Images captured with fMRI in a case study reveal the role of the orbitofrontal cortex in patients infected with the virus who experience anosmia and ageusia.

Here's what to expect this week on Diagnostic Imaging.

Whole-body MRI was able to detect more lesions and identify more patients for earlier treatment.

A combination of artificial intelligence and Lung-RADS can increase scan specificity without reducing sensitivity

COVID-19 Vaccine Adenopathies Mimic Breast Malignancies; Appendicitis, CT Exposure and Increased Cancer Risk; and MRI AI Tool for Prostate Cancer Recurrence Prediction

Aquilion system offers industry’s largest bore and widest field-of-view, potentially augmenting radiation therapy planning.

Identification of tau’s point of origin can potentially lead to improved treatments and intervention design.

Swollen lymph nodes visualized on mammography and ultrasound appear days post-vaccination and could be mistaken for malignancies.

The number of CT scans corresponds to an increase in risk of hematologic malignant neoplasms, especially in children under age 16.

Seno’s Imagio® breast imaging system can help providers distinguish, in real-time, between benign and malignant breast lesions.

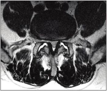
Pairing MR-guided high intensity focused ultrasound with the standard-of-care, external beam radiotherapy, can offer faster pain relief to patients.

Using MRI-guided biopsy could help women avoid surgical resection to determine how well chemotherapy is working.

Here's what to expect this week on Diagnostic Imaging.

Using pre-operative MRI data, an AI algorithm can help predict recurrence better than existing models.