
With both your adult and pediatric patients, be sure you are doing the best job at explaining both the benefits and risks of imaging studies.
Whitney J. Palmer has been with Diagnostic Imaging since 2011, serving as the Senior Editor since November 2019. She has 20 years experience in healthcare and academic medicine reporting.

With both your adult and pediatric patients, be sure you are doing the best job at explaining both the benefits and risks of imaging studies.

Dangers of missing one screening mammogram; Rise of cardiac CT and MRI; Strategies to improve financial stability; Plus, Talking to patient about COVID-19 vaccine-related adenopathies.

An automated approach can be useful with patients who have indeterminate transthoracic echocardiograms.

Konica Minolta releases new system during annual meeting.

Experts at ECR 2021 offer their top three tips for a variety of breast imaging techniques.

Two new permanent MRI systems are designed to streamline workflow and truncate scan time by roughly one-third.

Combining machine learning and deep learning with clinical data and chest X-rays can point to either mild or severe disease.

For women with dense breasts, automated breast ultrasound offers advantages over supplemental screening with hand-held ultrasound.

Including a measurement in diffusion-weighted imaging on contrast-enhanced MRI can help women side-step unneeded procedures.

Product offerings will showcase new glass-free detector and digital radiography solutions.

Radiologists can play an active role in improving the healthcare experience for transgender patients, most of whom have had a negative imaging encounter.

Women who do not miss their screening mammography appointments are far less likely to die from breast cancer than women who either forego one – or all – exams.

More radiologists are providing CT and MRI services, but these studies still fall behind echocardiography and nuclear medicine.

Here's what to expect this week on Diagnostic Imaging.

Radiologists may not order a DBT exam for African American patients, but they can participate in improving access to the screening.

Images reveal ultrasound therapy can effectively open and close the blood-brain barrier, opening the door for potential new Alzheimer’s treatments.

New method can help providers distinguish between benign and malignant breast lesions.

CT Colonography & Tumor Differentiation; COVID-19 & Leukoencephalopathy; MRI, the Angiography Suite, and Acute Ischemic Stroke; Plus, DBT, African American Women, & Decreased Access

For women who do not have easy access to mammography, clinical breast examination has been shown to increase breast cancer detection and save lives.

High resolution, 3D images reveal differences in the structure of neurons from healthy brains and those from patients with schizophrenia.

The approach, based on ACR guidance, is intended to promote vaccine use while reducing patient anxiety and unnecessary imaging.

Ezequiel Silva III, M.D., will assume leadership of the AMA’s committee on Medicare policy payment on March 1.

Using MRI in the angiography suite can help providers decide whether to continue with thrombectomy, to place stents, or to administer anti-thrombotic medications.

While digital breast tomosynthesis improves cancer detection and recall rates among women of all ages and races, significantly fewer African American women have access to the exam.

Implementing a radiomics-based machine learning algorithm allows CT colonography to differentiate between benign and pre-cancerous polyps with high sensitivity and specificity.

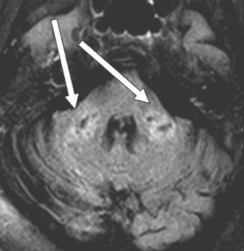
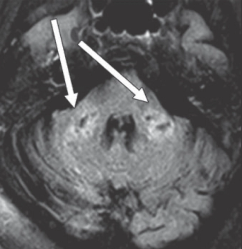
Images can show indications of rare condition that can affect white brain matter in patients who test positive for the virus.

Here's what to expect this week on Diagnostic Imaging.

Women with less education, with lower income, or from racial and ethnic minority groups have less access to 3D mammography and the potential benefits it provides.

Mammography "Sweet Spot" Recall Rate; MRI for Early-Stage Testicular Cancer Follow-Up; COVID-19 and Body Self-Attack; Plus, Global Radiology

New strategy can better detect any remaining malignant tissue intraoperatively, increasing surgeon confidence and decrease patient anxiety.