
By combining a wave reflection analysis with standard Doppler ultrasound, providers can better identify whether a pregnant woman is experiencing impeded blood flow to the placenta, potentially improving pregnancy outcomes.
Whitney J. Palmer has been with Diagnostic Imaging since 2011, serving as the Senior Editor since November 2019. She has 20 years experience in healthcare and academic medicine reporting.

By combining a wave reflection analysis with standard Doppler ultrasound, providers can better identify whether a pregnant woman is experiencing impeded blood flow to the placenta, potentially improving pregnancy outcomes.

Six months post-infection, the hearts of patients who had mild disease appear similar on cardiac MRI scans to the hearts of patients who were never infected.

Here's what to expect this week on Diagnostic Imaging.

Study shows lower energy reserve index in patients with mild cognitive impairment and early Alzheimer’s.

Move embeds cloud-based speech recognition and automation solutions into Konica-Minolta’s Exa® Platform.

Real-time visualization of brain movement can help radiologists identify hard-to-detect brain conditions.

Both pre- and post-menopausal women who undergo annual screening mammography have fewer late-stage breast cancer diagnoses, fewer interval cancers, and smaller average tumor size.

Adding 18F-FET PET to contrast-enhanced MRI can better determine which patients are responding well to immune checkpoint inhibitors or targeted therapies.

Take a quick look at Diagnostic Imaging's Top 5 stories of the week.

Women with low levels of PDGFRb, a protein involved in cardiovascular development, have reduced recurrence risk.

Classification leads to fewer missed breast cancers.

Collaboration paves the way for improved interoperability.

Misattributing injuries can put children at risk for future abuse.

Tattoo ink can migrate in female patients, potentially mimicking lymph node findings on breast imaging.

Here's what to expect this week on Diagnostic Imaging.

A radiologist and former Johns Hopkins president lays out guidance for how radiologists can successfully raise money for department activities.

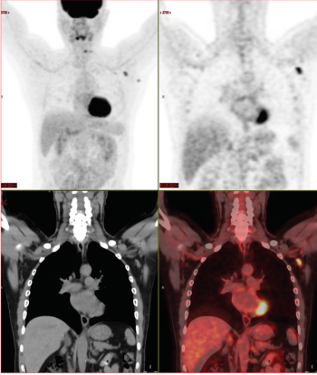
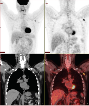
Performing a CMR shortly after hospital admission identifies more patients with broken-heart syndrome.

Take a quick look at Diagnostic Imaging's Top 5 stories of the week.

Creating an online, updatable contact sheet can reduce the number of misdirected calls to the radiology department.

Initial guidance advised these adenopathies would resolve within six weeks. Research and clinical experience shows it’s taking much longer.

Matthew Michela, President and CEO of Life Image, discusses ONC information-blocking rules and strategies practices can take to ensure compliance.

The American College of Physicians released a new guideline, supporting the use of point-of-care ultrasound alongside standard diagnostic pathways for emergency department and admitted patients who have shortness-of-breath but an uncertain diagnosis.

Identifying these easily missed breaks can save patients from future negative complications or loss of function.

Scans show significant similarities between gray and white brain matter changes in patients with both conditions.

Working out and maintaining high cardiorespiratory fitness reduces risk of bronchiectasis.

Here's what to expect this week on Diagnostic Imaging.

Abdominal imaging specialist Jonathan Kruskal, M.D., Ph.D., assumed the role during the 2021 ARRS Virtual Annual Meeting.

Move will add surgical imaging system to product portfolio.

A proof-of-concept, personalized shield could protect patients receiving radiation therapy from mouth and gastrointestinal tract injuries.

Research findings show patient age and existing mammogram studies play a role in assessment.