
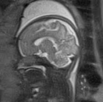
Study shows conducting MRI scans earlier in patients with mild TBI could identify which patients are likely to have the worse outcomes and when more timely intervention is necessary.
Whitney J. Palmer has been with Diagnostic Imaging since 2011, serving as the Senior Editor since November 2019. She has 20 years experience in healthcare and academic medicine reporting.

Study shows conducting MRI scans earlier in patients with mild TBI could identify which patients are likely to have the worse outcomes and when more timely intervention is necessary.

The assertion that breast imaging facilities are ignoring national guidelines to initiate screening mammography earlier and, potentially, benefit financially is offensive, the College says.

COVID-19 Machine Learning Models Not Ready for Clinical Use; CT Colonography Tops Colorectal Cancer Detection; Radiology's Environmental Impact; Plus, DBT in Academic and Community Settings

Algorithm is designed to automate heart ventricle measurements.

A year-long pandemic has not resulted in the feared decline of female-authored publications, but challenges still exist.

Scans can more precisely define malformations that can be challenging for ultrasound.

Allergic reactions to contrast agents are rare – having a radiologist on-hand to keep an eye on patients can raise the providers risk of being involved in a car accident.

Non-invasive treatment offers pain relief for more than a year – an improvement over radiation therapy.

Study finds hundreds of COVID-19 machine learning models are riddled with flaws, making them unreliable.

Pairing these scans with biological and clinical data can help providers with diagnosis and potential treatment.

Of healthcare careers surveyed, radiologists are the highest paid worldwide, and the United States has the highest percentage of GDP spent on healthcare.

Across the country, many breast imaging facilities are opting to provide screening mammography earlier and more often.

Here's what to expect this week on Diagnostic Imaging.

This correlation can help providers pinpoint which patients will develop more neurological abnormalities, helping them plan interventions to improve outcomes.

Compared with stool-based non-invasive screenings, CT colonography performs best for colorectal cancer screening and detection.

Supramolecular Amorphous-like Iron Oxide could provide less toxic, more biocompatible high-resolution imaging.

Radiology’s contribution to climate change is larger than you might think, but that can be mitigated.

USPSTF lung cancer screening recommendation update; Cancer screenings and COVID-19; and CT and unintentional weight loss.

Cumulative radiation dose exposure is a concern for this group.

For nearly 15 years, the number of radiologists performing these procedures has continued to climb while other specialties are seeing a decrease.

Patients receiving standard therapy and intensive therapy for high blood pressure revealed no significant biomarker differences for Alzheimer’s disease on brain images.

Scans are useful in identifying causes of nearly half of patients in the emergency department who have unintentional weight loss.

The PET/CT scanner allows simultaneous whole-body imaging from top of the head to thigh.

Revised guidelines support low-dose CT screening for patients between ages 50 and 80 with 20-pack year smoking histories – a move that lowers the screening age and, potentially, incorporates more high-risk individuals.

ACR, RSNA, and SIIM call on HHS and FDA official to dismiss a “midnight” proposal from the immediate-past HHS Secretary.

Here's what to expect this week on Diagnostic Imaging.

ControlRad, Inc., technology will now be available on Siemens’ interventional imaging systems.

Compared with three other methods, shear wave elastography providers greater sensitivity in pinpointing remaining malignant tissue after brain tumor removal.

Lunit’s INSIGHT CXR software will be available on Philips’ X-ray solutions.

Medical devices are showing up regularly in abdominal X-rays – knowing what to look for and when something might be wrong can help improve diagnosis.