
Created in a partnership, the ultra-fast MRI technique captures images in a single breath-hold -- the project's clinical leader offers insights.
Whitney J. Palmer has been with Diagnostic Imaging since 2011, serving as the Senior Editor since November 2019. She has 20 years experience in healthcare and academic medicine reporting.

Created in a partnership, the ultra-fast MRI technique captures images in a single breath-hold -- the project's clinical leader offers insights.

Using a deep learning tool slices reading time by nearly 75 percent and makes disease identification easier.

Incidence is rare and should not discourage vaccine use, but providers should be aware of the possibility.

American College of Radiology introduces website that offers guidance and resources for the use of artificial intelligence.

Study shows patient responses can identify errors and lead to better quality improvement efforts.

Wide variation in follow-up recommendations for pancreatic cysts could affect supplemental imaging.

Keeping your patient’s data safe requires more advanced tactics.

Take a quick look at Diagnostic Imaging's Top 5 stories of the week.

The latest products released on the market for Quarter 2 2021.

Digital breast tomosynthesis offers benefits over mammography, but it is enough to change screening?

Undergoing more frequent abdominal screening can improve life expectancy and quality of life for patients with hepatocellular carcinoma.

Funding will be given to sites that can contribute to the Medical Imaging and Data Resource Center (MIDRC).

Several factors – other than length of clinical experience – weigh into a provider’s interpretive accuracy.

A deep learning algorithm used with brain MRI could help providers identify patients in the early stages of cognitive decline and Alzheimer’s.

Drs. Charles Liu and Jonathan Russin discuss the benefits and potential of fPACT, the alternative to functional MRI.

A more personalized approach rooted in the patient’s needs is a better course of action.

Low-dose, high-resolution system can capture a variety of images for both large and small facilities.

Using PET/CT images to assess the level of a non-small cell lung cancer biomarker can help patients avoid invasive biopsy.

Findings could lead to changes in treatment decisions.

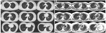
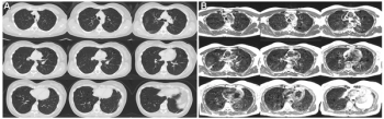
Low-field strength MRI can successfully visualize common lung problems.

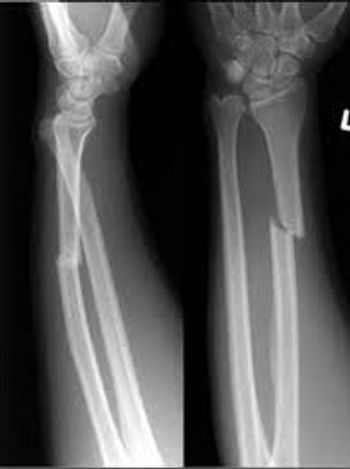
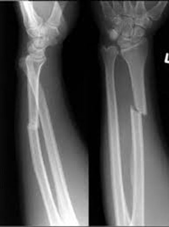
These injuries are easy misses for radiologists unfamiliar with the problems – here’s what you should look for.

Take a quick look at Diagnostic Imaging's Top 5 stories of the week.

Identification of optimal heart rate supports use of beta blockers when possible.

Recently approved PMSA-targeted radiotracer can pinpoint biochemical recurrent prostate cancer in men with unhelpful standard imaging.

Retention rates are higher, but clinical impact could be low.

Patients with mild cognitive impairment who take lipophilic statins have a more than doubled risk of progressing to dementia.

Tested so far in animal models, this tracer could further the development of treatments for this life-threatening disease for which there are currently no therapies.

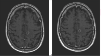
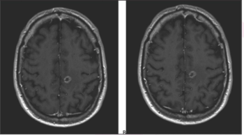
Imaging shows even mild head impacts can have long-term neurological effects.

New therapy uses light from decaying radiopharmaceuticals to attack cancer cells from inside the body.

Here's what to expect this week on Diagnostic Imaging.