
The radiopharmaceutical is already approved for use in PET imaging in men with suspected prostate cancer recurrence.

An emerging radiomics model, derived from 68Ga-PSMA-11 PET, reportedly offers a superior area under the curve (AUC) and higher sensitivity than radiologist assessment in detecting intraprostatic lesions via positron emission tomography/computed tomography (PET/CT) in patients with prostate cancer.

The radiopharmaceutical is already approved for use in PET imaging in men with suspected prostate cancer recurrence.

Despite increased use of preoperative magnetic resonance imaging (MRI) in recent years for patients undergoing surgery for prostate cancer, a study found that over 70 percent of a large Medicare population with prostate cancer did not have a preoperative MRI scan as of 2015.

Could the emerging artificial intelligence platforms Saige-Dx and Quantib Prostate 2.0 improve cancer detection with mammography and prostate MRI?

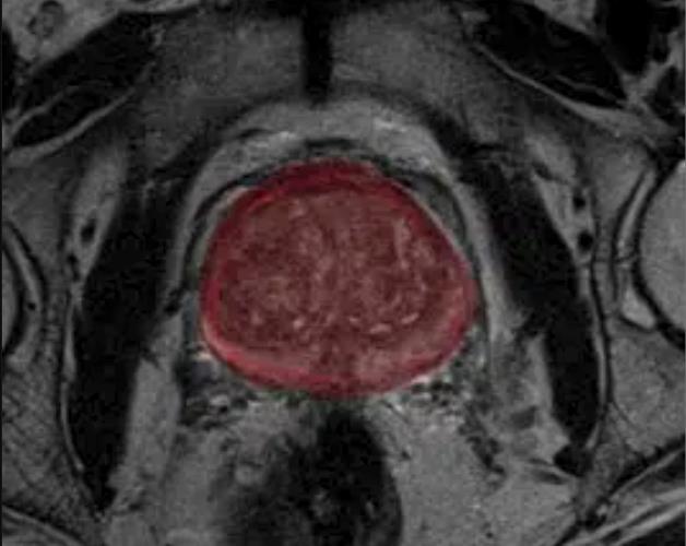
In addition to segmentation of the prostate, the artificial intelligence (AI)-enabled advance reportedly facilitates PI-RADS scoring by assessing the size and intensity of possible lesions.

The combination of the imaging agent Locametz and the targeted radioligand therapy Pluvicto may allow targeted treatment and mortality risk reduction in patients with prostate cancer.

Interesting questions raised by a paper that compared the use of 18F-fluciclovine with 68Ga-PSMA-11 imaging modalities to detect biochemical relapse in prostate cancer and implications for integrating newer techniques into clinical practice.

Reactions to key findings from an article by Birgit Pernthaler, et al, that compared the use of 18F-fluciclovine with 68Ga-PSMA-11 imaging modalities to detect biochemical relapse in prostate cancer.

Drs Steven Finkelstein and Louis J. Mazzarelli highlight data revealed in the article “A Prospective Head-to-Head Comparison of 18F-Fluciclovine With 68Ga-PSMA-11 in Biochemical Recurrence of Prostate Cancer in PET/CT,” by Birgit Pernthaler, et al.

Drs Steven Finkelstein and Louis J. Mazzarelli comment on limitations associated with conventional imaging modalities in prostate cancer and highlight the roles of newer tests such as 18F-fluciclovine and 68Ga-PSMA-11.

PSMA PET is highly robust in identifying prostate cancer lesions which are otherwise deemed unremarkable.