
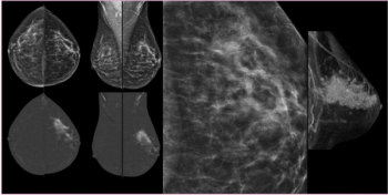
In the third part of a three-part interview from the recent RSNA conference, Mark Traill, M.D., discusses the potential of image-based risk assessment artificial intelligence (AI) algorithms in bolstering adherence to screening protocols for women at high risk for breast cancer.






























