
Facility Management
Latest News
Latest Videos

Podcasts
CME Content
More News

While the research reveals key benefits with portable imaging, particularly point-of-care ultrasound applications with AI capabilities, these authors note challenges with variability in training and advocate for radiologist-led oversight.

Emphasizing advanced orchestration of imaging workflows, the Rhapsody Image Director software reportedly facilitates streamlined efficiency and infrastructure that accommodates multimodal AI tools.

Catch up on the top radiology content of the past week.

In light of the ongoing challenges with navigating malpractice risk and administrative burdens in radiology, these authors issue a call for increased communication and collaboration with ordering clinicians.

Lower proportions of extremely dense breasts and high BRCAT lifetime risk among Black women in comparison to White women may have resulted in a lower likelihood of eligibility for supplemental screening insurance coverage in Pennsylvania, according to new research.

The multimodality remote scanning modality uOmniscan and the recently FDA-cleared 3T uMR Ultra MRI system were unveiled at the Association for Medical Imaging Management (AHRA) conference in Las Vegas.

Catch up on the top radiology content of the past week.

Catch up on the top AI-related news and research in radiology over the past month.

Catch up on the top radiology content of the past week.

The newly launched Definium Pace Select ET X-ray platform reportedly provides increased automation and advanced image processing.

Catch up on the latest MRI studies, AI innovations, and expert insights on abbreviated breast MRI with our Weekly Scan.

Catch up on the most-well viewed radiology content in June 2025.

Catch up on the top radiology content of the past week.

A new report conveys the cumulative impact of ongoing challenges with radiologist residency positions, reimbursement, post-COVID-19 attrition rates and the aging of the population upon the persistent shortage of radiologists in the United States.

Looking for an enlightened approach to billing isn’t easy amid a sea of third-party payor excuses, absurd addendum requests and CT headers seemingly etched in stone.

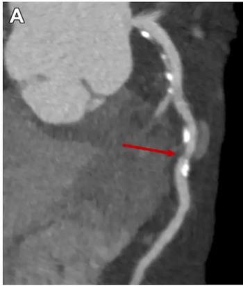
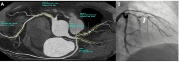
Emphasizing increasing recognition of the capability of coronary computed tomography angiography (CCTA) for the evaluation of acute and stable chest pain, this author defuses common misperceptions and reviews key considerations for implementation of a CCTA program.

Recognizing the daunting combination of increasing imaging volume and workforce shortages, these authors discuss key risk factors contributing to burnout and moral injury in radiology, and potential solutions to help preserve well-being among radiologists.

Refraining from expressing one’s political viewpoints in the workplace needs to be reemphasized.

Through AI recognition of subtle patterns in breast tissue on screening mammograms, the Clairity Breast software reportedly provides validated risk scoring for predicting one’s five-year risk of breast cancer.

The cloud-based platform reportedly facilitates AI-enhanced teleradiology workflow efficiencies across multiple systems and facilities.

In a study involving over 1,000 patients who had coronary computed tomography angiography (CCTA) exams, AI software demonstrated a 90 percent AUC for assessments of cases > CAD-RADS 3 and 4A and had a 98 percent NPV for obstructive coronary artery disease.

Catch up on the most-well viewed radiology content in April 2025.

Employing deep learning image reconstruction, parallel imaging and multi-slice acceleration in a sub-five-minute 3T knee MRI, researchers noted 100 percent sensitivity and 99 percent specificity for anterior cruciate ligament (ACL) tears.

Some abbreviations for radiology transcriptions defy reasonable explanation but they continue to persist on multiple voice recognition platforms.

Catch up on the top radiology content of the past week.














































