
AI
Latest News
CME Content


Training sets from different vendors may be required to ensure scanner-specific sensitivity.

Both board-certified radiologists and radiology residents more appropriately suggested chest CT follow-up when using artificial intelligence with chest X-ray.

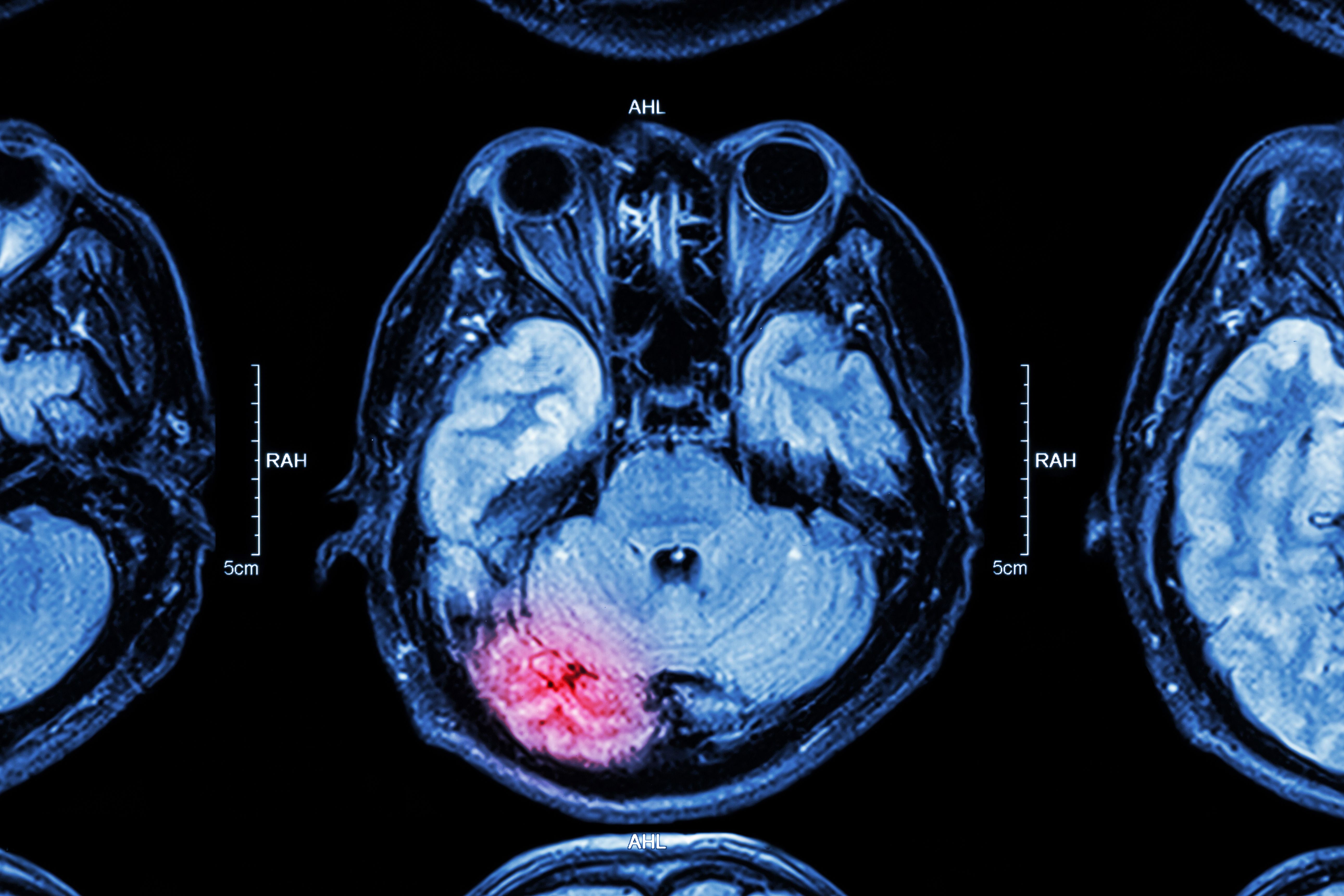
Announcement opens the 10th annual Brain Tumor Segmentation challenge.

Code is for vertebral compression fracture detection with CT scans.

New deep learning tool is designed to help radiologists evaluate chest X-rays regardless of where they work.

Combination also leads to a reduction in the false-negative rate.

Using a deep learning tool slices reading time by nearly 75 percent and makes disease identification easier.

American College of Radiology introduces website that offers guidance and resources for the use of artificial intelligence.

A deep learning algorithm used with brain MRI could help providers identify patients in the early stages of cognitive decline and Alzheimer’s.

How one health system is doing it.

Using a deep convolutional neural network tool, radiographers can correct image errors and reduce repeated imaging.

Research shows artificial intelligence models rely on shortcuts for detecting COVID-19.

What you need to address for successful artificial intelligence adoption and enterprise imaging integration.

3D Convolutional neural network can effectively replace manual segmentation of the pancreas with or without cancer.

Incorporating artificial intelligence with TI-RADS improves sensitivity, specificity, and reduces interpretation time by nearly one-fourth.

The deep learning algorithm can distinguish between malignant and benign nodules at initial screening.

Collaboration paves the way for improved interoperability.

Identifying these easily missed breaks can save patients from future negative complications or loss of function.

Using a model trained on three data sets could lead to automated categorization of “likely normal” and “likely abnormal” brain MRI results.

AI-fueled mammography triage software from DeepHealth wins 510(k).

Liability and responsibility concerns are not significant with AI use now, but as the tools enter clinical use, that will change.

Algorithms outperformed providers in accurate, quick detection and classification.

This partnership opens the door to better access to data for AI tools, as well as streamlined workflow, augments physician training, and better patient care.

Pairing machine learning methods with chest X-rays can potentially improve viral detection in areas where access to swab testing and chest CT scans is inadequate.


























