
Catch up on the top radiology content of the past week.

Catch up on the top radiology content of the past week.

Deep radiomics models that included deep learning features had a 40 percent or greater increase in the specificity rate for diagnosing osteoporosis on hip radiographs in comparison to models that only emphasized clinical and/or textural features.

The new artificial intelligence-powered software reportedly helps detect central pulmonary embolism (PE) on computed tomography pulmonary angiogram (CTPA) images and streamlines communication among interventional teams to bolster treatment outcomes.

A new study revealed that an emerging artificial intelligence (AI)-enabled software tool led to improved sensitivity, specificity and inter-observer agreement for the diagnosis of indeterminate pulmonary nodules on chest computed tomography (CT) scans.

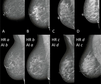
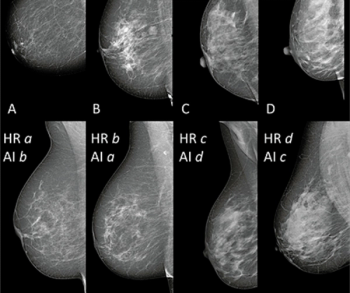
Could the emerging artificial intelligence platforms Saige-Dx and Quantib Prostate 2.0 improve cancer detection with mammography and prostate MRI?

Catch up on the top radiology content of the past week.

While some have raised questions and concerns about a possible loss of autonomy with the increasing presence of private equity in radiology, this author says potential benefits of such an alliance, including access to new technologies, career development and a strong patient focus, go beyond the expected economies of scale.

Offering integrated artificial intelligence (AI) and seamless multi-nuclei imaging capabilities, the new magnetic resonance imaging (MRI) system reportedly enhances image quality and workflow efficiency.

Check out top radiology content from the past week.

The AI-powered dental algorithm, Video Caries Assist, reduced missed cavities by 43%.

Review the top radiology content from the past week.

The new artificial intelligence-powered software from Nanox reportedly identifies findings suggestive of compression fractures and low density on computed tomography (CT) images and facilitates more precise measurement of these fractures.

A new study suggests that deep learning algorithms with multimodal ultrasound have comparable specificity and sensitivity to subjective expert assessment and use of the O-RADS classification to distinguish between benign and malignant ovarian tumors.

Review top radiology content from the week.

The advisory emphasizes that the computer-aided triage and notification (CADt) devices, many of which incorporate artificial intelligence (AI) or machine learning technology, are intended to aid radiologists in prioritizing the assessment of brain imaging that may reveal signs of large vessel occlusion (LVO).

In addition to segmentation of the prostate, the artificial intelligence (AI)-enabled advance reportedly facilitates PI-RADS scoring by assessing the size and intensity of possible lesions.

Review top radiology content from the week.

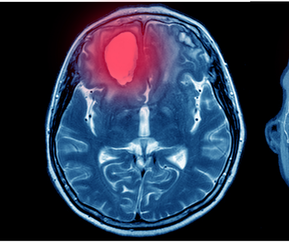
The new artificial intelligence (AI) algorithm reportedly flags suspected cases of brain aneurysm and facilitates multidisciplinary care.

Artificial intelligence and other emerging technological advances may transform health-care certification, potentially improving access to best practice standards, increasing provider engagement, and bolstering collaboration.

Review top radiology content from the week.

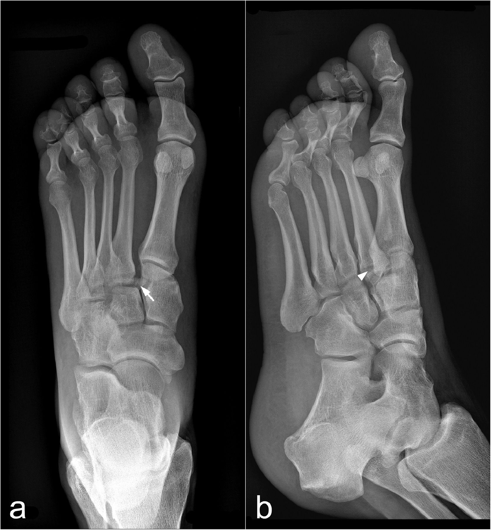
The authors of a new meta-analysis found no significant differences between clinicians and artificial intelligence in diagnosing fractures but conceded that slightly over half of the studies assessed had a high risk of potential bias.

Powered by artificial intelligence, the new Ultrasound Workspace platform reportedly offers advanced echocardiography capabilities and facilitates enhanced diagnostic workflows.

Review top radiology content from the week.

The artificial intelligence (AI) model reportedly had an 89.3 accuracy rate in differentiating between non-dense and dense breasts on mammography scans, and a 90.4 percent rate of agreement with human radiologist reviewers.

What is your diagnosis?