
Review the top radiology content from the past week.

Review the top radiology content from the past week.

While there can be an array of challenges in outsourcing night coverage to teleradiology service providers, due diligence with contract terms can help mitigate costs and increase flexibility if radiology practices decide to switch teleradiology providers down the line.

Review top radiology content from the week.

In a recent video interview, Arun Krishnaraj, MD, MPH and David Larson, MD, MBA, discussed the continued use of physical media to transport medical images between different health-care facilities, resulting inefficiencies and delays with patient care, and the initiative to create a linked multi-hub model to end this dated practice once and for all.

Review top radiology content from the week.

Review top radiology content from the week.

In a new study comparing the development of myocarditis among vaccinated patients to those with COVID-19-related illness and patients with other etiologies, researchers noted less severe abnormalities on magnetic resonance imaging (MRI) and no major adverse events in a short-term follow-up.

The new whole-body magnetic resonance imaging (MRI) platform reportedly offers enhanced image quality and increased patient comfort.

A 43-year-old male presents for suspected PE evaluation. What is the diagnosis?

Addition of late contrast enhancement (LCE) CT reportedly bolsters diagnostic rate for patients with acute chest pain who have negative findings on triple-rule-out (TRO) CT.

COVID-19 can result in cardiac complications including myocarditis, arterial and venous thromboembolism, and cardiomyopathy.

Radiologists should be aware of the possible association of COVID-19 mRNA vaccination and myocarditis.

Better understanding of blood flow means better treatment for patients.

Take a quick look at Diagnostic Imaging's Top 5 stories of the week.

Take a quick look at Diagnostic Imaging's Top 5 stories of the week.

Created in a partnership, the ultra-fast MRI technique captures images in a single breath-hold -- the project's clinical leader offers insights.

Incidence is rare and should not discourage vaccine use, but providers should be aware of the possibility.

Take a quick look at Diagnostic Imaging's Top 5 stories of the week.

Including this scan improves detection of clinical and subclinical myocarditis by more than seven-fold, making it a vital part of return-to-play strategies.

Take a quick look at Diagnostic Imaging's Top 5 stories of the week.

Six months post-infection, the hearts of patients who had mild disease appear similar on cardiac MRI scans to the hearts of patients who were never infected.

Performing a CMR shortly after hospital admission identifies more patients with broken-heart syndrome.

Images can pinpoint which women are at risk for ischemia and nipple necrosis.

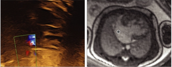
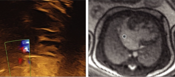
Fetal cardiac MRI and congenital heart defects; Survival tips for early radiology practice; Plus, Risk-based prioritization models for mammography during crises.

In more than 80 percent of referred cases, information gathered from fetal CMR can change clinical decision-making, and it can impact parental counseling, as well.