
CT shows former NFL players may have enlarged aortas compared with controls.

CT shows former NFL players may have enlarged aortas compared with controls.

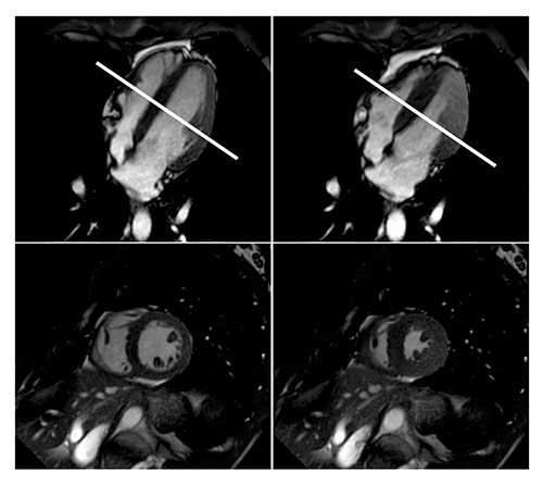
MRI shows evidence of higher risk for elite male triathletes.

Imaging modality that exhibits the highest accuracy for diagnosis of myocardial ischemia.

Combined PET-CT can help diagnose cardiac sarcoidosis.

The combination of CT angiography and CT perfusion versus the combination of invasive coronary angiography plus single photo emission CT in predicting two-year MACE.

Coronary CT angiography shows significantly greater increase in noncalcified plaque volume among older men who use testosterone gel.

Coronary CT angiography shows whether alcohol consumption is associated with coronary artery disease.

PET may help physicians differentiate between patients with cardiac amyloidosis and hypertensive heart disease.

Latest developments in cardiac PET radiopharmaceuticals from ASNC 2016.

American Society of Nuclear Cardiology 2016 shows the cardiac PET value chain still faces more headwinds than tailwinds.

Imaging with echocardiograms show changes in the ventricular structure in older smokers.

Cardiovascular MR-guided care may reduce the number of unnecessary angiograms performed on patients with angina pectoris.

Case History:: 69-year-old patient with pain in legs and feeling of cold legs and chest pain.

CT confirms relationship between HIV-related inflammation and the increase of CAD among men infected with HIV.

Costs of CTA versus functional diagnostic testing for suspected coronary artery disease.

Predictive ability for major adverse cardiac events of cardiovascular MRI for patients compared with SPECT.

Assessing radiologists with and without cardiac training when reading chest CT.

Case History: 68-year-old female with progressive shortness of breath, history of a complex congenital heart disorder.

Why it’s important for radiologists to focus on appropriateness of ER cardiac imaging.

Inappropriate cardiac imaging drops when interventions are subject to physician audits and feedback.

CHICAGO-MRI shows significant changes to the heart of elite free divers.

MRI finds possible marker for cardiovascular disease among asymptomatic diabetics.

Non-invasive CTA is more accurate in detecting coronary artery disease among symptomatic patients than SPECT-MPI.

Using MRI to image the left ventricle shows more precise measurements of the heart.

Choosing Wisely recommendations need further implementation in order to see a drop in unnecessary medical procedures.