
A new study shows that GPT-4 may offer comparable error detection rates to those of attendings and radiology residents in reviewing radiology reports, but researchers noted key caveats as well.

A new study shows that GPT-4 may offer comparable error detection rates to those of attendings and radiology residents in reviewing radiology reports, but researchers noted key caveats as well.

Catch up on the top radiology content of the past week.

The inclusion of simulated adjudication for resolving discordant nodule classifications in a deep learning model for assessing lung adenocarcinoma on chest CT resulted in a 12 percent increase in sensitivity rate.

Review the case and test your knowledge to make the correct diagnosis.

Catch up on the top radiology content of the past week.

Researchers noted a 67.4 percent increase in head and neck CT angiography and a 38 percent reduction in findings of acute pathology in a recent comparison of 2017 and 2021 statistics for headache and/or dizziness presentations at the emergency department of an urban academic medical center.

Catch up on the top radiology content of the past week.

Catch up on the most-well viewed radiology content in March 2024.

Emerging research on coronary artery calcium scoring for the assessment of coronary artery disease (CAD) suggests the use of virtual non-contrast images from photon-counting CT may lead to a nearly 20 percent reduction in radiation dosing.

The artificial intelligence (AI) modalities CINA-iPE and CINA-ASPECTS may facilitate improved detection of incidental pulmonary embolism and stroke evaluation, respectively, based on computed tomography (CT) scans.

Review the case and test your knowledge to make the correct diagnosis.

The multimodality system nCommand Lite reportedly facilitates real-time remote imaging guidance on scanning parameters and procedure assessments to licensed technologists for a variety of imaging modalities including CT and MRI.

Catch up on the top AI-related news and research in radiology over the past month.

Catch up on the top radiology content of the past week.

Offering ease of mobility and self-driving capabilities, the Ciartic Move C-arm device reportedly reduces the stress and potential for error associated with manual repositioning during intraoperative imaging with computed tomography and fluoroscopy.

Emerging research suggests that a computed tomography (CT)-based radiomics model can predict FOXM1 expression and is independently prognostic for clear cell renal cell carcinoma.

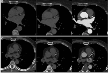
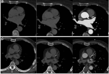
Three-dimensional interactive heart models created with AI-enabled segmentation of CT scans may reduce ventricular tachycardia ablation procedure times by 60 percent.

Review the case and test your knowledge to make the correct diagnosis.

Catch up on the top radiology content of the past week.

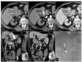
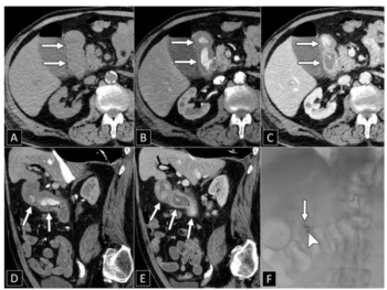
In joint consensus recommendations issued from the Society of Abdominal Radiology and the American College of Gastroenterology, researchers discussed key pearls, benefits, and limitations of CT angiography for imaging of overt lower GI bleeding and CT enterography for detecting small bowel bleeding.

Employing quantitative computed tomography, the staging system’s insights on stenosis, ischemia and coronary atherosclerosis may facilitate individualized assessments of heart disease risk.

Computed tomography (CT) findings from over 1,700 patients with stable chest pain reveal that coronary artery calcium (CAC) scores of 0 are associated with a 4.1 percent prevalence of obstructive coronary artery disease (CAD) whereas CAC scores of 400 or higher are linked to a 76.1 percent incidence of obstructive CAD, according to research from a multinational study.

Review the case and test your knowledge to make the correct diagnosis.

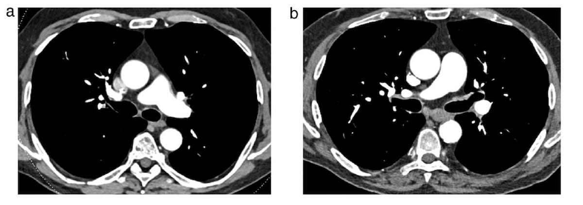
In comparison to standard-dose lung CT, the combination of deep learning image reconstruction with ultra-low-dose CT offered similar detection and characterization of pulmonary nodules at a nearly 93 percent reduction of radiation dosing, according to new research.

Catch up on the most-well viewed radiology content in February 2024.