
CT
Latest News

What a Meta-Analysis Reveals About Cone-Beam CT for Diagnosing Acute Intracranial Hemorrhage

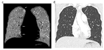
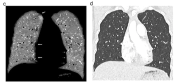
Chest CT Research Reveals at Least One Lung Nodule in 42 Percent of Non-Smokers
Latest Videos

CME Content
More News

Catch up on the top radiology content of the past week.

Automated CT-derived assessments may provide stronger stratification of diabetes and cardiometabolic risks than conventional predictive models, according to a new study of over 32,000 adults in Korea.

New research shows the use of adjunctive AI resulted in a 12 percent higher sensitivity rate for lung nodule detection in comparison to radiologists without AI.

Catch up on the top radiology content of the past week.

The researchers found that (18F)FDG PET/MRI had a 17 percent higher pooled sensitivity rate for cardiac sarcoidosis in contrast to (18F)FDG PET/CT.

The first radiology triage modality to garner a Breakthrough Device Designation from the FDA, Annalise-Obstructive Hydrocephalus has reported sensitivity and specificity rates of 97.5 percent and 95.3 percent respectively.

While contrast media extravasation is a rare complication, there can be varying degrees of severity. Accordingly, this author reviews possible causes of this complication, prevention principles and pertinent considerations in addressing this complication when it does occur.

In a study involving 217 percutaneous cryoablation procedures for treating recurrent or metastatic soft tissue sarcoma in 141 patients, researchers noted an 86 percent rate of local progression-free survival and a 2 percent complication rate.

New research shows that photon-counting computed tomography (PCCT) at an effective dose of 0.79 mSv provided significantly higher signal-to-noise ratios for urinary calculi (kidney stone) detection than energy-integrating detector CT at 1.39 mSv.

Review the case and test your knowledge to make the correct diagnosis.

In a 10-year analysis of computed tomography colonography (CTC) use in the United States, researchers found that CTC use increased from 1.4 percent of adults in 2019 to 3.5 percent in 2021.

Catch up on the most-well viewed radiology content in July 2024.

An emerging diagnostic model incorporating radiomic features from intratumoral and peritumoral regions exhibited a 29 percent higher AUC and 77 percent higher sensitivity rate than a clinical model for predicting the grading of clear cell renal cell carcinoma, according to recent research.

Catch up on the top radiology content of the past week.

New research looking at photon-counting computed tomography (PCCT) demonstrated significantly reduced variation and tracheal air density attenuation with polyenergetic reconstruction in contrast to monoenergetic reconstruction on chest CT.

Catch up on the top radiology content of the past week.

Emerging research suggests CT radiation dosing of 50 mSv or greater is associated with higher mortality at two years but nearly half of those patients were alive 10 years later.

While PET/MRI and PET/CT had comparable sensitivity for patient-level regional nodal metastases and lesion-level recurrence, the authors of a systematic review noted that PET/MRI had significantly higher accuracy in breast cancer and colorectal cancer staging.

Researchers found that mpMRI was 18 percent more accurate than dual-energy CT (DECT) for T1 staging and 19 percent more accurate for N3 staging of gastric cancer.

Review the case and test your knowledge to make the correct diagnosis.

Photon-counting CT-optimized features with the OmniTom Elite system include 30 cm field of view scanning, continuous spiral scanning, and an ultra-high-resolution capability of 0.141 mm resolution.

Catch up on the top radiology content of the past week.

Incorporating age, lesion shape and effective atomic number in the venous phase of dual-energy CT (DECT), an emerging model demonstrated a 79.1 percent AUC for differentiating between malignant and benign breast lesions.

In newly issued proposals addressing changes to coverage for Medicare services in 2025, the Centers for Medicare and Medicaid Services (CMS) announced its intent to provide coverage of computed tomography colonography (CTC) for Medicare beneficiaries in 2025.

Photon-counting CT enables enhanced fissure visualization and a lower degree of cardiac motion artifacts for lung perfusion imaging at a significantly reduced scan time in contrast to dual-energy CT, according to new research findings.


































