
Dedicated pediatric departments and technologists may adhere closer to protocols for pediatric CT scans.

Dedicated pediatric departments and technologists may adhere closer to protocols for pediatric CT scans.

The Aquilion Prime 80 features the AIDR 3D dose reduction software.

Recent recommendations for lung cancer CT screening from the American Lung Association could increase your work flow and change the way insurance providers pay for screenings.

Adaptive Iterative Dose Reduction (ADIR) 3D, the third generation software, will be offered to existing Aquilion One, Premium, and Prime CT customers.

Use of CT scans on pediatric patients in emergency departments has risen between 1999 and 2007, despite no corresponding increase in ultrasound use.

FNAs may produce too many false negatives. Follow up imaging suggested.

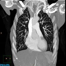
CT screening for lung cancer could save thousands of lives if routinely covered by insurers, according to a Health Affairs study.

Increased tube potential for routine scans resulted in an increase of up to 62 percent in organ radiation exposure, compared with normal weight patients.

Researchers found little risk for secondary cancers from multi-detector computed tomography among the Medicare population.

There was concern that cancers diagnosed in routine screening were less aggressive than those found in routine practice.

CCTA is safe and effective, and saves time when assessing patients at low- to intermediate-risk of a heart attack.

New guidelines that call for lower radiation exposure from CT-guided biopsies of lung nodules allows more people to undergo the procedure and may result in fewer overall lung cancer deaths.

Researchers want to make photoacoustic tomography, which pairs light and sound, available to providers. Clinical trials are already under way to visualize sentinel lymph nodes for breast cancer staging – just one of several potential applications of this technology.

In a position statement, the American Association of Physicists in Medicine advise against using bismuth shields for dose reduction in CT scanning when alternatives are available.

CT scan diagnoses right choanal atresia in 6-month-old male child. Pre-surgical evaluation. Non-enhanced axial CT scan of paranasal sinuses.

The use of head CT scans in the emergency department varies widely depending on who the attending doctors are when patients arrive.

Osman Ratib, MD, PhD, FAHA, professor and chief of nuclear medicine in the Department of Radiology at the University Hospital of Geneva, discusses the advantages and future of the hybrid PET/MR modality.

A CMS quality measurement for use of CT scans on emergency department patients with atraumatic headaches is not reliable, researchers found.

Computerized tomographic colonography (CTC), or virtual colonoscopy, is just as accurate as standard colonoscopies in detecting cancer and precancerous polyps in people aged 65 years and older.

Use of CT/CT angiography, often more readily available than MRI, after a transient ischemic attack or minor stroke predicts risk of recurrent stroke and clinical outcome.

The Aquilion Prime CT was designed for facilities that need to perform a wide variety of advanced clinical exams and produce high-quality clinical images with reduced radiation exposure, the company said.

Iodinated contrast media during imaging procedures is associated with changes in thyroid function and increased risk of developing hyperthyroidism, researchers found.

A follow-on CT scan can help lower risks of brain hemorrhage for patients with minor head injuries who are taking the anticoagulant warfarin, according to a study published online this week in the Annals of Emergency Medicine.

Medical device manufacturer NinePoint Medical Inc. has received FDA 510 (k) clearance for its volumetric optical coherence tomography (OCT) imaging system.

Once limited to research and use by eye specialists, optical coherence tomography (OCT) is emerging as a major imaging modality. OCT is more sensitive than ultrasound, experts said, and now researchers and clinicians are now finding ways to use OCT to guide esophageal and cervical biopsies.