
In a recent survey of nearly 2,000 women in their 40s who had no history of breast cancer, researchers found that over 38 percent of survey respondents said they had no reason to get a mammogram or had never thought about it.


In a recent survey of nearly 2,000 women in their 40s who had no history of breast cancer, researchers found that over 38 percent of survey respondents said they had no reason to get a mammogram or had never thought about it.

With ongoing gaps in mammography screening and patient anxiety that often accompanies screening exams and a possible diagnosis of breast cancer, patient education is critical. Accordingly, in a recent video interview, Amy K. Patel, M.D., discussed the potential impact of new patient-oriented breast cancer screening guidelines from the National Comprehensive Cancer Network.

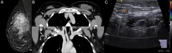
The combination of magnetic resonance imaging (MRI) and computed tomography (CT) had a 63.83 percent sensitivity rate for tumor-infiltrated axillary lymph nodes in patients with breast cancer in comparison to a 36.11 percent sensitivity rate for the combination of mammography and sonography.

Canon Medical Systems offer a range of in-person and virtual educational opportunities for their clients.

Researchers discuss key parameters for the assessment, implementation and post-implementation monitoring of emerging artificial intelligence (AI) tools in radiology practices large and small.

Catch up on the top radiology content of the past week.
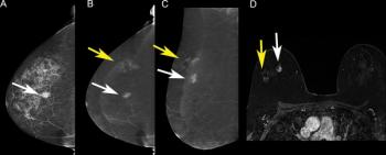
Women who had enhancing lesions associated with low-energy findings were more than twice as likely to have malignancy in comparison to those who had enhancing lesions without low-energy findings.

Does excess boilerplate verbiage hamper the review of radiology reports by referring physicians?

Catch up on the top radiology news of the past week.

The review of breast cancer screening guidelines from the United States and abroad summarized current recommendations on modalities, intervals, and screening age considerations.

Forty-eight percent of Asian women, 43.3 percent of Black women and 42.8 percent of Hispanic women did not have a biopsy 30 days after abnormal findings on mammography, according to newly published research.

The new workload management system reportedly emphasizes predictive analytics to facilitate efficient workload distribution and increase reading capacity for radiologists.

A new survey study from the American Cancer Society shows a 4.47 million decrease in cervical cancer screenings and a 2.13 million decrease in breast cancer screenings in the United States between 2018 and 2020.

Do we settle for oblique truths more often than not to mitigate potential repercussions?

Catch up on the top radiology content of the past week.

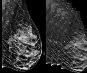
In a study of over 11,500 patients who had BI-RADS 4 breast lesions with no prior history of breast cancer, researchers found no statistically significant differences between digital mammography and digital breast tomosynthesis in cancer detection rates or biopsy-derived positive predictive value.

A closer look at the literature suggests the combination of digital breast tomosynthesis (DBT) and two-dimensional (2D) digital mammography (DM) has relatively equivalent cancer detection rates as using DM alone, according to a recent presentation at the Society of Breast Imaging (SBI)/American College of Radiology (ACR) conference.

Amid a glut of unnecessary imaging requests, common worklist frustrations and perceptions from other clinicians that they can interpret medical images just as well, recognizing your role as a humble difference maker may provide the ultimate RVU for patients.

Catch up on the top radiology content of the past week.

While COVID-19 vaccine clinical trials noted that post-vaccine axillary lymphadenopathy lasted for one to 10 days, emerging breast ultrasound research found a mean resolution of 127 days after a first vaccine dose.

Researchers found that Korean women with a combination of benign breast disease and BI-RADS category C or BI-RADS category D breast density had a nearly threefold or greater 10-year risk for breast cancer.

Could the emerging artificial intelligence platforms Saige-Dx and Quantib Prostate 2.0 improve cancer detection with mammography and prostate MRI?

The company will spotlight the breast cancer risk stratification software Volpara Risk Pathways and a new mammography training collaboration with Mammography Educators.

Review the top radiology content from the past week.

In a retrospective study involving mammography screening in over 114,000 women, researchers found that an artificial intelligence model had comparable specificity and sensitivity to radiologist screenings, reduced false positive results by 25 percent and reduced radiologist workload by more than 62 percent.