
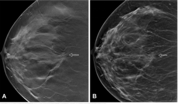
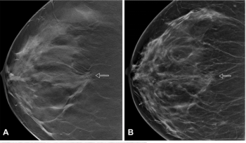
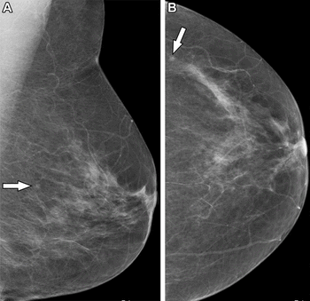
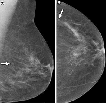
In separate test sets of Israeli women and United States women who had either ductal carcinoma in situ or invasive breast cancer, emerging artificial intelligence (AI) algorithms achieved an area under the curve (AOC) of 88 percent and 80 percent, respectively, for malignancy detection.


















































