
A new meta-analysis examines the diagnostic benefit of this emerging complementary modality.

A new meta-analysis examines the diagnostic benefit of this emerging complementary modality.

Technologies must be integrated with existing platforms and workflows, as well as demonstrate value.

Warning systems designed to streamline interpretation of screening mammograms may not benefit interpreting radiologists or patients, a new study suggests.

Diffusion-weighted imaging may be useful as a safe and effective screening tool to supplement mammography in women with dense breast tissues.

This study discloses the characteristics of patients using self-scheduled online patient portal screening mammography.

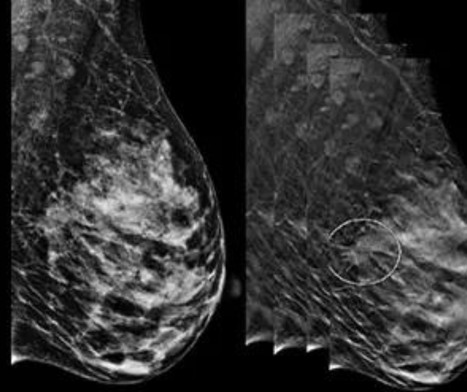
An artificial intelligence for digital breast tomosynthesis enhances radiologists’ performance and efficiency.

Following breast cancer treatment, women who have access to breast MRI may safely forgo additional mammographic or digital breast tomosynthesis follow-up.

Learn more about what Canon Medical will be showcasing virtually at RSNA 2021.

The work of a breast imager goes far beyond the pink-out of every October.

A recent article in Clinical Imaging suggests a three-pronged education approach to address healthcare disparities in radiology.

Artificial intelligence can help seek out and identify high-risk patients who might benefit from more extensive screening.

The impact of digital breast tomosynthesis on screening performance and screen-detected cancers appears to generalize beyond trials and academic centers to the community setting.

Feminizing hormone therapy may increase the risk of breast cancer in transgender women, a growing body of research suggests, underscoring a need for health care providers to understand the risks, breast imaging features, and health care needs of this demographic.

A nuanced approach is needed to weigh the risk of vaccination-associated axillary lymphadenopathy against the risk of delaying breast cancer screening.

Age, race, and insurance all factor in to whether women got their annual exams.

Software improves on breast density assessment algorithm with artificial intelligence.

Here's what to expect this week on Diagnostic Imaging.

Take a quick look at Diagnostic Imaging's Top 5 stories of the week.

Race is the most significant contributor to delays with breast cancer diagnosis.

Including a DNA-methylation analysis could improve early diagnosis for BI-RADS 4 patients.

One-click tool is designed to deliver precision consistently across all imaging modalities.

Combination also leads to a reduction in the false-negative rate.

The latest products released on the market for Quarter 2 2021.

Digital breast tomosynthesis offers benefits over mammography, but it is enough to change screening?

Several factors – other than length of clinical experience – weigh into a provider’s interpretive accuracy.