
Meg Eckenroad, Hologic’s vice president of women’s health, discusses the motivation and goals of the new $20-million Project Health Equality.

Meg Eckenroad, Hologic’s vice president of women’s health, discusses the motivation and goals of the new $20-million Project Health Equality.

Dana Bonaminio, M.D., Women’s Imaging National Subspecialty Lead from Radiology Partners, offers tips and guidance on what providers should make sure women know about their breast health.

An effective strategy requires participation by public health advocates, legislators, providers, vendors, and the media.

In collaboration with Black Women’s Health Imperative, National Alliance for Hispanic Health, and RAD-AID, Hologic has launched Project Health Equality.

Here's what to expect this week on Diagnostic Imaging.

Both pre- and post-menopausal women who undergo annual screening mammography have fewer late-stage breast cancer diagnoses, fewer interval cancers, and smaller average tumor size.

Take a quick look at Diagnostic Imaging's Top 5 stories of the week.

Tattoo ink can migrate in female patients, potentially mimicking lymph node findings on breast imaging.

Initial guidance advised these adenopathies would resolve within six weeks. Research and clinical experience shows it’s taking much longer.

The imaging industry has a role to play in bringing about change in screening.

Here's what to expect this week on Diagnostic Imaging.

Research findings show patient age and existing mammogram studies play a role in assessment.

AI-fueled mammography triage software from DeepHealth wins 510(k).

MD Anderson Cancer Center medical director shares her thoughts the priorities and challenges facing breast cancer detection and screening.

Patients want to know their risk. But, before you provide it, consider these factors to successfully integrate it into your practice.

Here's what to expect this week on Diagnostic Imaging.

Patients indicated breast imaging radiologists expressed more empathy over the diagnosis and had more understanding of their scans than other providers.

CEM performance showed no significant difference between women with or without breast implants, and it produced very few complications.

Despite recommendations from the American College of Radiology, most providers opt to delay screening in these women.

The screening mammography non-adherence rate among American Indian women is 1.5 times that of the overall population.

After a decade, roughly 75 percent of women with dense breasts seen in one department now undergo screening whole-breast ultrasound as a supplemental imaging service.

Images can pinpoint which women are at risk for ischemia and nipple necrosis.

More than 60 percent of news stories, including those discussing screening mammography, only highlight the potential benefits of testing.

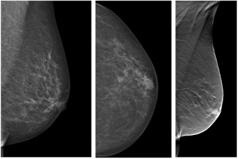
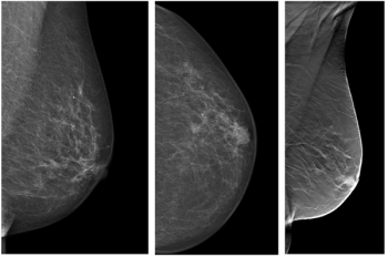
Findings support argument for replacing digital mammography with digital breast tomosynthesis for breast cancer screening.

Here's what to expect this week on Diagnostic Imaging.