
Pediatric Imaging Increase, Appropriate Use Criteria, Radiology Residency Pandemic Branding, Snapchatting Emergency Images

Pediatric Imaging Increase, Appropriate Use Criteria, Radiology Residency Pandemic Branding, Snapchatting Emergency Images

Emergency providers are utilizing more ultrasound and MRI scans, fewer CTs.

MRI screening every 18 months could catch more cancers, add life years in an economically efficient way.

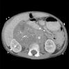
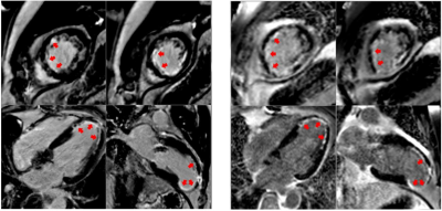
COVID-19, Stroke, and Heart Damage; Limitations of Digital Breast Tomosynthesis; Guidance for Pediatric CTA; and Micro-Ultrasound and Prostate Cancer

Algorithm can be used to detect changes in liver lesions after treatment initiation.

Clinicians should adopt a lower threshold for evaluating patients for stroke and providing care.

Responders who have cognitive impairment have reduced gray matter thickness in the brain consistent with neurodegenerative conditions.

Almost all studies and modalities have seen significant declines in payment since 2007.

Scans show cardiovascular impact lingers after the acute phase of viral infection and into recovery.

Algorithm can pre-operatively pinpoint metastasis, potentially helping some patients avoid unnecessary surgery.

Relying on patient- or tumor-specific characteristic to recommend pre-operative MRI could result in missed cancers.

University Hospitals Cleveland Medical Center/Case Western Reserve saw a 55-percent overall imaging volume drop during the pandemic and unearthed some commonalities with other, harder-hit areas.

Quantib AI Node is designed for more rapid processing of CT and MRI scans.

Using PET/MRI 18F NaF offers new functional measure for assessing degeneration of knee joints.

18F-FDG PET/MRI can identify pain generator locations, leading to changes in pain management.

Paying attention to scanner strength, IV contrast, and body parts imaged can contribute to reducing anesthesia use.

Diagnostic Imaging's Weekly Scan; July 10, 2020

Case study results show patient has brain connectivity similar to healthy individuals, pointing to positive prognosis possibilities.

An existing program set one London hospital up for success in managing images remotely during COVID-19.

Incorporating this imaging catches 11 percent more cancers, potentially affecting surgery plans and outcomes.

Annual MRI screening – with or without mammography – can prevent at least 50 percent of early deaths.

Radiologists warn this magnetic cosmetic attachment could pose a risk for patients or compromise image quality.

Diagnostic Imaging's Weekly Scan: July 3, 2020

Scans used, for the first time, to examine relationship between neocortex and cognitive decline.

T1 mapping has the potential to determine neuroblastoma aggressiveness, as well as early efficacy of treatment.