
Mammography "Sweet Spot" Recall Rate; MRI for Early-Stage Testicular Cancer Follow-Up; COVID-19 and Body Self-Attack; Plus, Global Radiology

Mammography "Sweet Spot" Recall Rate; MRI for Early-Stage Testicular Cancer Follow-Up; COVID-19 and Body Self-Attack; Plus, Global Radiology

MRI scans reveal myocarditis, scarring, infarction, and ischemia in recovered patients with elevated troponin levels.

Using MRI to evaluate a pediatric patient for appendicitis offers several benefits, but using it comes with hefty trade-offs, as well, experts say.

CT, MRI, and ultrasound images reveal the myriad of ways the virus prompts the body to attack itself – with this knowledge, radiologists can better contribute to treatment planning.

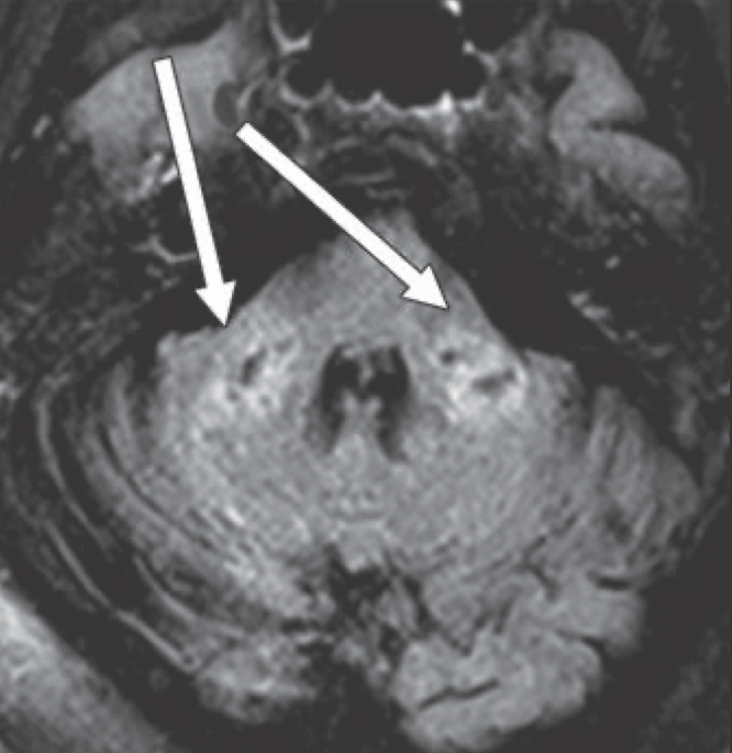
First brain MRI findings reveal dangerous COVID-19-related optical findings.

Using radiomics to assess impact of unconventional risk factors, including cocaine use and HIV infection, potentially introduces a “brave new world” of precision phenotyping in CAD.

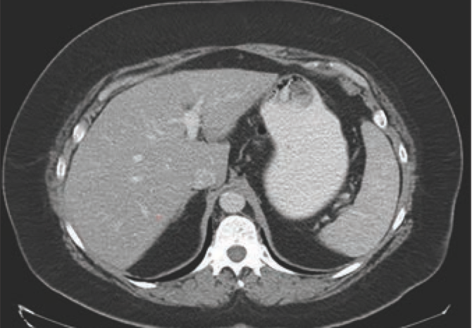
Can you diagnose this mostly asymptomatic patient but with weight loss and abdominal discomfort?

Using MRI – rather than CT – for post-surgical monitoring can effectively detect cancer relapse without exposing men to unnecessary radiation.

Here's what to expect this week on Diagnostic Imaging.

Results show bi-parametric MRI not only shortens scan times and eliminates gadolinium exposure, but it also finds more clinically significant prostate cancers.

COVID-19 Vaccine-Related Adenopathies on Breast MRI; Baseline Mammography at 40; Cherenkov Imaging to Improve Radiation Therapy Improvement; and Sexual Harassment and Gender Discrimination in Radiology

These radiopharmaceuticals are less expensive, and they offer longer half-lives.

The Hospital of the University of Pennsylvania offers guidance – BI-RADS scoring and follow-up recommendations – for unilateral axillary lymphadenopathies seen on breast MRI in women who have received the vaccine.

Clinical trial results show MRI as more accurate and less intrusive at diagnosis for men with a clinical suspicion of prostate cancer.

Using imaging to screen asymptomatic individuals can cause more potential harm than good, Task Force reiterates.

Research MRI images reveal information in 61-year-old COVID-19-positive patient that is similar to that captured by CT.

Men with intermediate-risk prostate cancer can be successfully treated with MRI-guided high-intensity focused ultrasound without experiencing incontinence or erectile dysfunction.

Prognosis for these patients is poor, but MRI can help providers reliably stage their disease.

Here's what to expect this week on Diagnostic Imaging.

Perivascular Spaces & Dementia; COVID-19 Loss of Smell and Taste; NAFLD & Multi-parametric CT; Plus, Point-of-Care Ultrasound in the Pandemic Era

Across X-ray, CT, ultrasound, and MRI, as well as insurance types, African American and Hispanic children get fewer tests than white children.

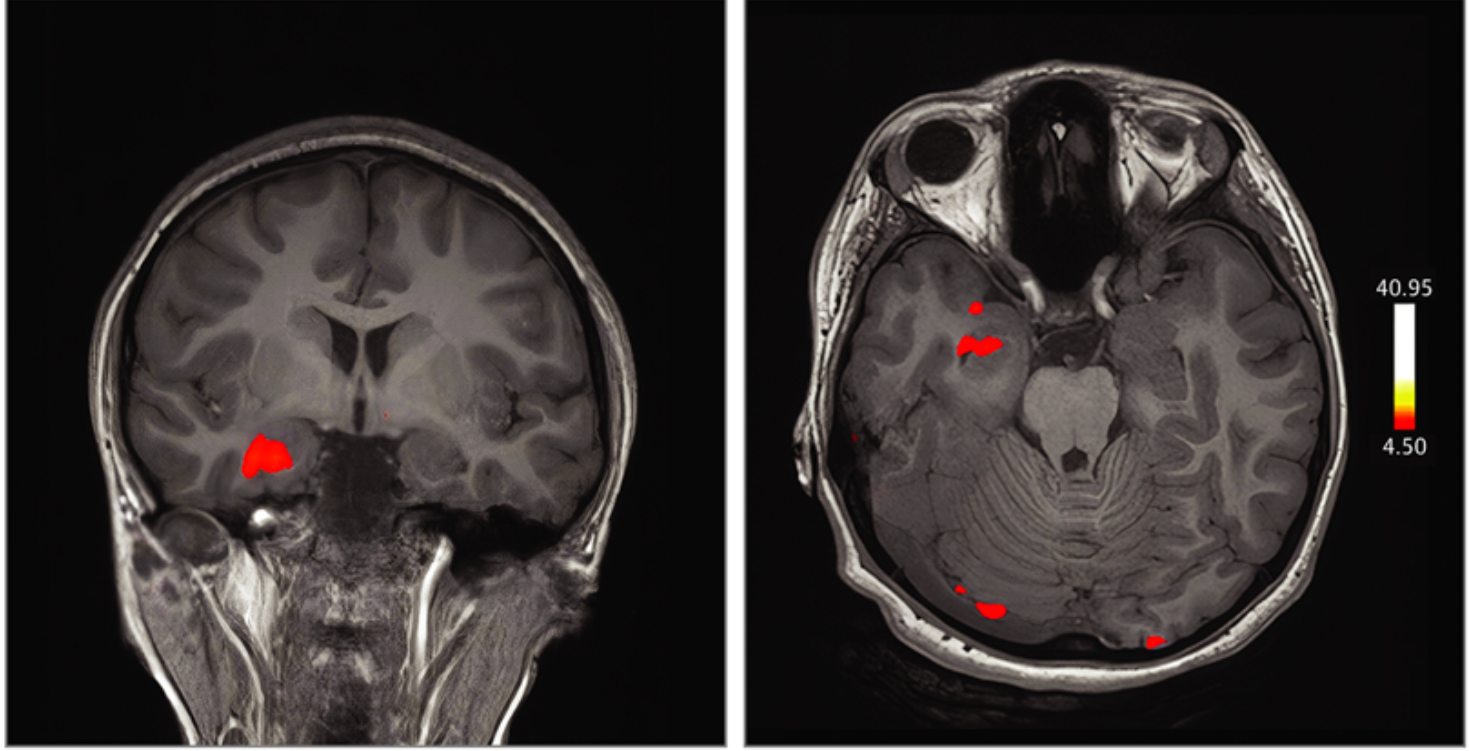
Can you diagnose this patient with dizziness?

Pairing patient-reported data about pain symptoms with an MRI image can lead to better identification of pain’s origin.

Large numbers of perivascular spaces seen in the brain are more commonly found in patients who go on to develop cognitive problems or dementia.

CT can provide faster, easier-to-capture evidence of non-alcoholic fatty liver disease than MRI or ultrasound elastography.