
Fat around the heart is more strongly related to coronary artery plaque than either body mass index or waist circumference – even among those without symptoms of atherosclerosis, according to a new study in the journal Radiology.

Fat around the heart is more strongly related to coronary artery plaque than either body mass index or waist circumference – even among those without symptoms of atherosclerosis, according to a new study in the journal Radiology.

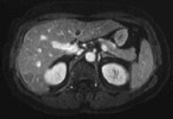
A formidably named bit of technology can open a new window into pancreas function, according to a new study in the journal Radiology. Serial magnetic resonance cholangiopancreatography (MRCP) with a spatially selective inversion-recovery (IR) pulse can provide insights into pancreatic flow noninvasively, Japanese researchers reported.

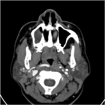
A 57-year-old female presents to the emergency department with dysphagia and reports her throat is “closing up.” On physical exam, there are no palpable masses appreciated along the neck, and the thyroid descends along the midline on swallowing and is noted to be slightly enlarged.

This monograph focuses on the need to monitor body temperature in patients during MRI and discusses the sites to record temperature based on efficacy and stability of the measurement, as well as the response time (i.e., the temporal resolution) during temperature fluctuations.

Magnetic resonance imaging (MRI) with 7-Tesla ultrahigh-field-strength technology captures scar tissue and other abnormalities of patients with epilepsy, according to a study published online in the journal Radiology.

Patients with mild traumatic brain injury (MTBI) exhibit abnormal functional connectivity in the thalamus, a relay station for transmitting information throughout the brain, according to a new fMRI study published online in the journal Radiology. The findings could have implications for treatment strategies.

Magnetic resonance (MR) technologists have developed three de-facto specialties over time, which could herald new training programs to meet the community’s needs.

Magnetic resonance enterography should be the imaging method of choice for radiologists diagnosing children with inflammatory bowel diseases, a new study published online in the American Journal of Roentgenology argues.

Radiologists can now charge Medicare for MRIs when the patient has a pacemarker approved for MRI exams.

Participants underwent an MRI exam at the beginning of the study, and again two years later. Researchers also then tested the participants’ memory using several scales. From the memory tests, researchers identified 25 participants (17 percent) whose memory declined during the two years, and 124 participants who did not.

Open design, wide bore, noise reduction MRI machines can ease claustrophobia. Do patients prefer them; are they cost effective; do they improve image quality?

On February 8, 2011, a new cardiac pacemaker received approval from the FDA, which for the first time allows MRI procedures to be performed in patients by following specific labeling requirements. http://www.medtronic.com/mrisurescan. The “MR Conditional” Revo MRI SureScan Pacing System from Minneapolis-based Medtronic Inc. was designed to minimize the potential interactions with the electromagnetic fields used during MRI examinations.

MRI could help detect Alzheimer’s disease at an early stage - before irreversible damage has been done, according to the second recent study to examine MRI use for Alzheimer’s.

Using MRI may help researchers predict which adults are likely to develop Alzheimer’s disease, according to a new study published online and in the June issue of Radiology.

Five years after the first reports linking gadolinium-based MRI contrast agents to nephrogenic system fibrosis (NSF), separate presentations of post-marketing data from manufacturers and an independent prospective study supported by agencies in France have validated the low-risk status of the contrast agent Dotarem (Gd-DOTA).

Stroke in young adults is one of the leading causes of disability, and the third leading cause of death, according to the American Stroke Association. Yet with an early MRI scan and the right treatment, the effects from strokes can be can be completely reversed.

HealthDay News - Signs of spinal cord injury on MRI give indication of neurological prognosis after surgery

Nineteen percent of imaging studies ordered by Pennsylvania orthopedic surgeons were done solely for defensive medicine, and they accounted for 35 percent of the imaging costs, according to a study presented this week at the 2011 annual meeting of the American Academy of Orthopaedic Surgeons (AAOS).

HealthDay - System designed to work with magnetic resonance imaging devices

Magnetic resonance imaging (MRI) and histological biopsy analysis are both efficient methods for subtyping hepatocellular adenomas (HCAs), according to a study published online Jan. 12 in Hepatology.

With Siemens close on its heels, Philips became the first company to get the green light to market its hybrid whole body PET/MR imaging system. Royal Philips Electronics announced this week that it received a CE marking, allowing the company to begin selling in Europe.

In assessing an osteoporotic patient for vertebral fractures, don’t overlook the vertebral endplates and the state of the intervertebral disks.

Top news from a featured radiology search on SearchMedica - patient monitoring in MRI: "Diffusion-weighted MRI May Predict Progression in Prostate Cancer"

Magnetic resonance imaging (MRI) can be used to monitor response during neoadjuvant chemotherapy (NAC), and it is effective in triple-negative or human epidermal growth factor receptor 2 (HER2)-positive breast cancer, according to a study published online Jan. 10 in the Journal of Clinical Oncology.

PET/MR is the logical next step in hybridization, the step that follows PET/CT, one that vendors finally took at this year's RSNA meeting. It has come a decade after PET/CT was first commercialized and nearly as long since pundits concluded that its arrival was inevitable.