
McKesson is showcasing its latest image management technology on the RSNA exhibit floor, a workflow enhancement called Variable Thickness Regional Intensity Projection (VTRIP), which promises more efficient reading of CT and MR studies.

Though generally deemed safe, high-intensity focused-ultrasound ablation of liver and pancreas cancers can lead to delayed complications. According to Korean researchers, practitioners should be aware of-and watch closely for-local and systemic post-HIFU side effects several years down the road.

McKesson is showcasing its latest image management technology on the RSNA exhibit floor, a workflow enhancement called Variable Thickness Regional Intensity Projection (VTRIP), which promises more efficient reading of CT and MR studies.

An MR contrast agent for blood pool imaging once known as Vasovist reappeared at RSNA 2009 under the new moniker Ablavar.

A high-field, wide-bore MR scanner from GE Healthcare is making its first appearance at an RSNA meeting. The system, called Optima MR450w, was officially unveiled some three months ago, but RSNA 2009 is its first major trade show.

A preliminary study suggests that CTA can play the role cardiac MRI has been playing for detecting and quantifying myocardial infarction to estimate the potential success of coronary bypass graft surgery.

MRI is the best method to assess breast cancer tumor size prior to surgery and after chemotherapy, according to findings from the American College of Radiology Imaging Network trial 6657. Size on mammography does not correlate with true residual disease in patients treated with neoadjuvant chemotherapy and thus MRI is the best modality, the researchers said.

Findings of a study by California researchers suggest MR imaging could be a highly accurate tool in the detection of placenta accreta, the leading cause of death in women directly before or after childbirth

CMC-001, an investigational MRI liver contrast medium, may be at least a partial answer to reducing the long imaging times that have frustrated patients and encouraged radiologists to look for imaging alternatives to aid diagnosis of hepatocellular carcinoma and colon cancer metastases in the liver. A phase III trial indicates it is as sensitive as a gadolinium-enhanced MRI for detecting colon cancer metastases, but at the cost of lower specificity.

Siemens brought two blockbuster MR offerings to the RSNA meeting this week: the 3T Skyra and 1.5T Aera. The two new products, works-in-progress pending FDA clearance but scheduled to begin shipping by mid-2010, promise a productivity lift through their patient-friendly bores, measuring 70 cm wide, and automation that simplifies complex scan tasks.

GE Healthcare unveiled at RSNA 2009 a software technique that uses low-frequency sound waves in combination with MRI to measure the elasticity of liver tissue as an indicator of disease.

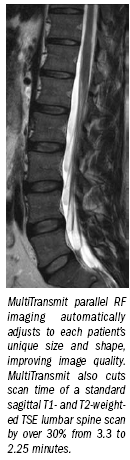
Philips Healthcare executives believe the MultiTransmit parallel RF (radiofrequency) technology built into the company’s flagship 3T scanner will help make 3T a clinical workhorse.

Siemens unveiled a new information technology at RSNA 2009: software that promises to do the tedious and time-consuming tasks involved in reading MR and CT exams. The new product, a work-in-progress pending FDA clearance, is an outgrowth of the syngo platform that Siemens has used for years to provide consistency in data processing among its modalities.

Digital mammography plus MRI is the most clinically effective strategy for screening women carrying a genetic mutation known to increase the risk for breast cancer. However, unless the cost of breast MRI decreases substantially, the modality doesn’t translate as cost-effective, according to a study presented on Tuesday at the RSNA 2009 meeting.

Using 3T MR imaging, California researchers have found that high levels of physical activity may be linked to knee abnormalities in middle-aged men and women. People between the ages of 45 and 55 who engage in several hours of walking, sports, or other types of exercise per week may be at greater risk of developing osteoarthritis than less active adults, according to a study presented Monday at the 2009 RSNA meeting.

The number of unidentified, not corrected errors in radiology reports of spine MRIs is significantly higher than that of corrected errors, according to a study presented at the RSNA meeting on Monday.

Preoperative meniscal extrusion and the severity of cartilage loss and bone marrow edema can be trusted to predict the outcomes of arthroscopic partial meniscectomy in middle-aged and elderly patients.

Lesion size, patient age, and current ipsilateral breast cancer are statistically significant predictors of pathologic outcome for nonmasslike enhancement lesions seen on breast MRI, according to a scientific session presented on Sunday at the RSNA 2009 meeting.

Radiologists will often not biopsy small lesions because they assume the lesions are benign. But the decision to do so could mean missing malignant cases, according to a scientific session presented Sunday at the RSNA 2009 meeting.

Patients with low back pain who live in areas with many MRI machines are more likely to get scanned and undergo surgery than those in low-availability areas, according to a study looking at Medicare claims data. Patients with low back pain, however, rarely benefit from MRI scans or surgery, so the procedures are often unnecessary.

Patients want rapid access to the results of preliminary readings, which helps avoid frustration due to long response times and cryptic reports.

The evolution of neuroradiological research from anatomy to biochemistry can be seen in the frequency with which MRI techniques have led to research that will be presented at the 2009 RSNA meeting. Nearly all of the hottest papers this year employ some form of physiological or metabolic imaging.

Combining T2-weighted MRI to detect microvascular obstructions with delayed-enhancement imaging to measure myocardial viability offers clinicians a better way to assess myocardial infarction, according to a new study from Japan.

The American College of Radiology is predicting that imaging access will plunge and patient waiting times will soar from new Medicare Physician Fee Schedule rules that will cut Medicare payments for outpatient imaging by an estimated 16% next year.

CMS will increase the equipment utilization rate assumption used to determine the practice expense for all nontherapeutic medical equipment, including diagnostic imaging systems, from 50% to 90% under new Medicare fee schedule rules announced Friday. In a bit of good news for radiology, CMS said it remains on track to require that suppliers of advanced imaging services become accredited by 2012.

Specialties outside of radiology could benefit from unified databases and iPhone applications.

Diverse capabilities in MR reflect the corporate philosophies of individual vendors, as well as how they see opportunities in the marketplace and seek to capitalize on them