
Ultrasound, CT, and MRI are useful tools in detecting brain changes in Zika virus, from RSNA 2016.

Ultrasound, CT, and MRI are useful tools in detecting brain changes in Zika virus, from RSNA 2016.

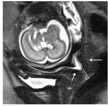
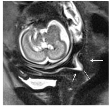
Case History: Patient presented with vision difficulty for one year, which increased in severity over last two months.

Case History: 45-year-old female presented for spine MRI.

47-year-old patient offered screening ultrasound due to dense breast tissue.

Case History: 45-year-old with history of brain tumor with complaints of abdominal pain.

Preoperative MRI may help find more cancer sites among women whose cancer was detected by screening ultrasound.

More women with dense breast tissue underwent supplemental screening following implementation of the New Jersey Breast Density Law.

Use of machine learning algorithms to read thyroid nodule ultrasounds helpful, particularly for less experienced radiologists.

Case History: 55-year-old male with burning urination, hypertension, left flank pain, weight loss.

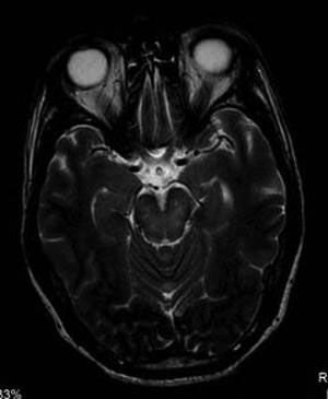
Case History: 27-year-old male with worsening vision in the left eye for five months.

Point-of-care ultrasound, instead of CT, effective in diagnosis and management of elbow injuries.

The power and limitations of lung ultrasound.

Ultrasound, rather than MRI, is often appropriate imaging for shoulder injuries.

Case History: 73-year-old male with lower limb muscle pain on left side during physical activity.

Improved detection of breast cancer with automated breast ultrasound, according to study.

Case History: 28-year-old, G1P0, 12 weeks gestation with dark vaginal discharge.

Ultrasound's role in diagnosing Zika.

Case History: 57-year-old patient presented with left flank pain.

Most carotid ultrasounds for asymptomatic patients are not based on appropriate criteria.

Sometimes image quality is just plain bad.

MRI helped predict which women with short cervix would go into preterm labor.

Embracing the portability of point of care ultrasound.

Case History: 20-year-old, no medical or surgical history, with neck mass and swelling for several days.

Researchers identify whether scanner-based protocols for ultrasound improve department efficiency.

Case History:14-year-old nulliparous menstruating female with lower abdominal and pelvic pain.