
Popping microbubbles with ultrasound waves prompts greater radiation susceptibility, leading to lower tumor growth and better long-term patient outcomes.

Popping microbubbles with ultrasound waves prompts greater radiation susceptibility, leading to lower tumor growth and better long-term patient outcomes.

Here's what to expect this week on Diagnostic Imaging.

The December 2020 Diagnostic Imaging eBook.

Providers can use scans to score a patient’s lung health, potentially identifying which patients will fare worse from the virus, requiring more extensive treatment.

Here's what to expect this week on Diagnostic Imaging.

Advanced imaging can help pinpoint the location and cause of lingering nerve damage in patients who have recovered from the virus.

Left atrial diameter and fibrosis differences between African American and white patients could play a role the risk of ischemic stroke.

Rapid COVID-19 Diagnosis with CT and CO-RADS; Cooled Radiofrequency Ablation for Pain Relief; Inappropriate Abdominal CT and Ultrasound Scans; and Lead Shielding Guidance

Study finds 84 percent of CT and ultrasounds in the emergency department do not follow ACR appropriateness criteria and cause downstream problems for patient care.

The radiologic technologists and sonographers have experienced changes during the viral outbreak.

Together with integrated cancer care provider GenesisCare, the imaging provider looks to attack the two biggest global health problems.

In this podcast episode, Dr. Shalom Kalnicki, from Montefiore and Albert Einstein College of Medicine, discusses the disparities minority patients face with cancer screenings and what can be done to increase access during the pandemic.

Breast Cancer Screening in Indian & Pakistani Women; Fluciclovine PET for Prostate Cancer Imaging; Cardiac Ultrasound & COVID-19; and Improving Mammography Patient Experience

The modality is the only one that can be safely conducted at the bedside with patients on a ventilator.

Ultrasound as the New Stethoscope; Pre-Operative MRI and Dense Breasts; Spectral CT and COVID-19; Corporatization in Radiology

Researchers from China recommend disinfecting the air, alongside, sanitizing surfaces, to reduce exposures and transmission.

A partnership between one medical school and an ultrasound manufacturer is intended to re-design how students learn.

The strategy could be a less expensive alternative to CT when evaluating pulmonary fibrosis and pulmonary edema.

Late pregnancy scans cannot reliably predict one of the most common delivery complications.

New system incorporates artificial intelligence features intended to truncate exam time and create more consistently repeatable exams.

Standard image-guided, vacuum-assisted biopsy can accurately identify remaining cancers in some patients with a less than 5 percent false negative rate.

Identifying a patient’s preferred method of communication can open the door for optimal, respectful patient care.

Ultrasound technology can be an indispensable tool for the management of suspected early pregnancy loss.

Voluson SWIFT is designed to shorten scan time and improve efficiency.

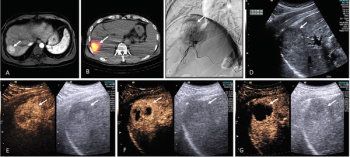
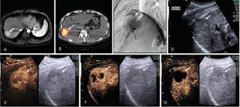
CEUS is a safer, less expensive option for diagnosing focal liver disease.