
Cerebrovascular reserve testing via transcranial Doppler ultrasound useful in identifying asymptomatic patients with carotid artery stenosis at risk for stroke.

Cerebrovascular reserve testing via transcranial Doppler ultrasound useful in identifying asymptomatic patients with carotid artery stenosis at risk for stroke.

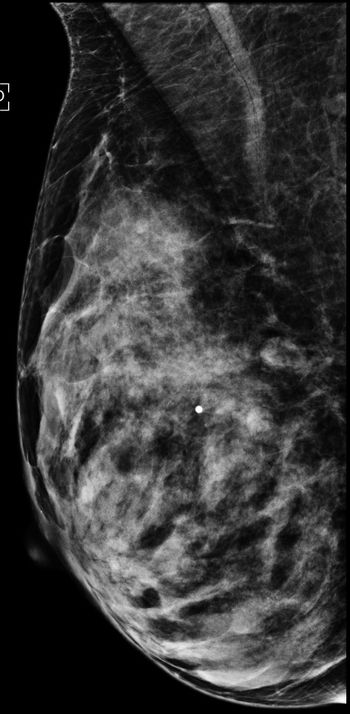
A 72 year-old woman presents for routine screening mammogram with no complaints.

Use of imaging studies in emergency departments rose significantly from 1993 to 2007, but then declined from 2007 to 2012.

Long-time proponent of ultrasound for breast screening, Kevin M. Kelly, MD, discusses what radiologists need to know.

The FDA has approved VISIQ, an ultra mobile ultrasound system designed for greater mobility, manufactured by Philips.

Ultrasounds can help identify pneumonia and its progression in children without exposure to ionizing radiation.

Case History: Female patient in early 60s with abdominal pain and nausea.

Bedside ultrasound competency assessment of emergency medicine residents varies considerably throughout the U.S.

For the most part, women who undergo image-guided core-needle breast biopsies experience minimal pain.

Screening ultrasounds plus mammography may find more cancers in women who have breast dense tissue.

Ultrasound screening recommendations for abdominal aortic aneurysms remain mostly the same and still only definitively recommend screening for men.

What’s the preferred breast cancer screening modality? When should patients begin screening mammograms? Are guidelines being considered? We compiled the data.

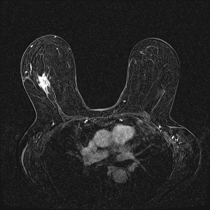
74-year-old presents with palpable lump in left breast, status post left lumpectomy for infiltrating ductal carcinoma with sequential radiation 16 years ago.

Tomosynthesis, photon counting and photoacoustic imaging are just a few of the growing options for breast imaging technology.

Emergency department radiology services frequently are uncompensated among both uninsured and insured patients.

Preoperative imaging of patients with esophageal cancer by PET and MRI may provide higher accuracy in nodal staging.

Preoperative axillary ultrasound is effective in detecting invasive breast cancer in obese patients.

Fewer ultrasounds and biopsies were seen for women referred for breast tomosynthesis after recall for focal asymmetric density following screening mammography.

Ultrasound remains most sensitive imaging modality when diagnosing placenta accreta.

As concern with radiation safety mounts, bowel ultrasound, with proper technique and training, may be a viable imaging alternative.

Diffusion-tensor MRI and tractography may offer radiologists a noninvasive option for diagnosing esophageal carcinoma.

Calgary Scientific’s ResolutionMD received FDA clearance for diagnosis on mobile devices for most imaging modalities.

Breast emergencies are uncommon but require quick identification and management when patients present with complaints, such as mastitis and breast abscesses.

Radiologists can reduce the number of unnecessary imaging procedures through quality improvement regarding the appropriateness of the tests.

A 30-year-old who has been breastfeeding for three months presents for evaluation of a right breast lump that is nontender and has been present for two weeks.