
Dr. Laurence Klotz discusses micro-ultrasound as a faster, less invasive, more cost-effective screening strategy compared to mpMRI in this podcast.

Dr. Laurence Klotz discusses micro-ultrasound as a faster, less invasive, more cost-effective screening strategy compared to mpMRI in this podcast.

Grassroots group points to substantial clinical evidence of safety in call for agency to remove the warning.

Guidelines outlining appropriate and inappropriate use scenarios has led to a significant decline in PICC line placement, particularly among interventional radiologists.

A combination of structured reporting and an automated reporting template can bring errors with these scans down to zero.

The dual-layer platform can identify malicious instructions from a host computer.

Onvision is designed to increase accuracy of needle placement during peripheral nerve blocks.

Past RBMA President Christie James, American College of Radiology Commission on Economics Chair Greg Nicola, M.D., and Revenue Cycle Coding Strategies President Melody Mulaik discuss the radiology revenue cycle management challenges and solutions of the pandemic.

Ultrasound is an effective follow-up strategy for masses pinpointed with DBT, potentially side-stepping the need for digital mammography and lower radiation exposure.

The company has captured 510(k) clearance for artificial intelligence-based software that facilitates brain and prostate image interpretations.

Imaging volumes fell farther across most modalities in outpatient imaging centers and are taking longer to rebound.

The University of Cincinnati launched a 10-week program that led the department back to roughly 100-percent pre-COVID-19 levels.

A recent study reveals referring providers do not always read requested second opinions.

Severe intimate partner violence is five-fold higher this year than in the previous three – radiologists have the opportunity to proactively identify at-risk patients.

Lung ultrasound scans pinpoint lingering lung damage in patients who meet clinical parameters for hospital discharge, alerting doctors to patients who will need longer-term care.

Pediatric Imaging Increase, Appropriate Use Criteria, Radiology Residency Pandemic Branding, Snapchatting Emergency Images

Emergency providers are utilizing more ultrasound and MRI scans, fewer CTs.

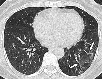
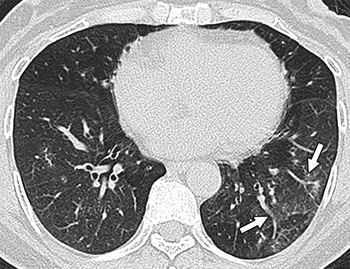
A team of international experts published seven recommendations for the use of chest imaging in the diagnosis and management of COVID-19-positive patients.

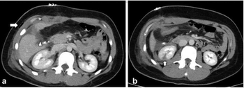
COVID-19, Stroke, and Heart Damage; Limitations of Digital Breast Tomosynthesis; Guidance for Pediatric CTA; and Micro-Ultrasound and Prostate Cancer

Almost all studies and modalities have seen significant declines in payment since 2007.

Images demonstrate high accuracy for identifying B-lines, thickened pleural lines, and pulmonary consolidation features.

The system is designed to reduce unnecessary biopsies, lesion correlation time, and improve overall diagnostic accuracy.

Sonosite PX improve image quality and workflow at the patient’s bedside.

Bedside lung ultrasound can be used to pinpoint which emergency department patients are more likely to die from viral infection.

From virus behavior, to patient impact, to imaging implementation – what we know so far.

University Hospitals Cleveland Medical Center/Case Western Reserve saw a 55-percent overall imaging volume drop during the pandemic and unearthed some commonalities with other, harder-hit areas.