
Female breast cancer diagnosis is now the most common cancer diagnosis globally, largely affecting women in transitioning countries.

Female breast cancer diagnosis is now the most common cancer diagnosis globally, largely affecting women in transitioning countries.

With more axillary adenopathies likely to present on breast imaging, Society of Breast Imaging experts offer guidance for best management during the pandemic.

Here's what to expect this week on Diagnostic Imaging.

COVID-19 Vaccine Adenopathies Mimic Breast Malignancies; Appendicitis, CT Exposure and Increased Cancer Risk; and MRI AI Tool for Prostate Cancer Recurrence Prediction

Swollen lymph nodes visualized on mammography and ultrasound appear days post-vaccination and could be mistaken for malignancies.

Seno’s Imagio® breast imaging system can help providers distinguish, in real-time, between benign and malignant breast lesions.

The pandemic’s impact on sonographers was largely a boomerang effect, but some struggles remain.

While the pandemic raged, work continued to advance the development of AI tools with breast imaging services.

Hologic’s Jennifer Meade, division president of breast and skeletal care, discusses the focus for breast imaging in the near future and some latest technologies.

Women who experience food or housing insecurities are more likely to take longer between imaging and follow-up, putting them at greater risk for undiagnosed breast cancer.

Not only did this combination improve breast cancer detection, but it could also catch more potentially invasive cancers earlier.

Breast Cancer Screening in Indian & Pakistani Women; Fluciclovine PET for Prostate Cancer Imaging; Cardiac Ultrasound & COVID-19; and Improving Mammography Patient Experience

Delays in the diagnosis and treatment of breast cancer have led to the creation of multidisciplinary recommendations for breast cancer care during the COVID-19 pandemic.

Late pregnancy scans cannot reliably predict one of the most common delivery complications.

What to expect this week on Diagnostic Imaging.

Standard image-guided, vacuum-assisted biopsy can accurately identify remaining cancers in some patients with a less than 5 percent false negative rate.

Identifying a patient’s preferred method of communication can open the door for optimal, respectful patient care.

Ultrasound technology can be an indispensable tool for the management of suspected early pregnancy loss.

Voluson SWIFT is designed to shorten scan time and improve efficiency.

Breast imagers could be among the most highly burned out sub-specialists, but there are ways to reduce the work fatigue.

Radiation, alongside age and socioeconomic status, is associated with longer diagnosis-to-treatment timelines.

Rethinking CMR during COVID-19; Abdominal Imaging and COVID-19; Mental Health Impacts of COVID-19; African American and Lung Cancer Screening; Plus, African American Women and Disadvantages in Breast Cancer Screening

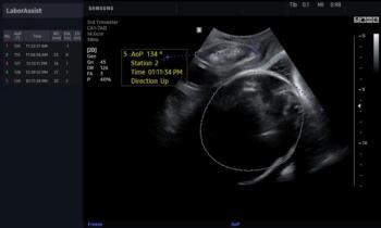
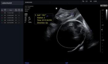
Ultrasound system provides obstetric measurements during labor in seconds, eliminating the need for digital vaginal exams and helping to side-step C-sections.

Ultrasound is an effective follow-up strategy for masses pinpointed with DBT, potentially side-stepping the need for digital mammography and lower radiation exposure.

Houston-area mobile mammography program brings screening mammography and access to diagnostic services to women who have barriers to care.