
Konica Minolta releases new system during annual meeting.

Konica Minolta releases new system during annual meeting.

What is your diagnosis in this patient who presents for evaluation of scoliosis?

Combining machine learning and deep learning with clinical data and chest X-rays can point to either mild or severe disease.

Product offerings will showcase new glass-free detector and digital radiography solutions.

Radiologists can play an active role in improving the healthcare experience for transgender patients, most of whom have had a negative imaging encounter.

What is your diagnosis of a young child who presents with shortness of breath and distress?

Here's what to expect this week on Diagnostic Imaging.

High resolution, 3D images reveal differences in the structure of neurons from healthy brains and those from patients with schizophrenia.

Using MRI in the angiography suite can help providers decide whether to continue with thrombectomy, to place stents, or to administer anti-thrombotic medications.

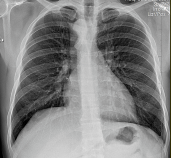
What is your diagnosis on this patient who got a CXR to rule out pneumonia?

New strategy can better detect any remaining malignant tissue intraoperatively, increasing surgeon confidence and decrease patient anxiety.

What is your diagnosis in this patient with long standing excessive alcohol intake and difficulty swallowing?

Can you diagnose this patient with bloody stool?

Across X-ray, CT, ultrasound, and MRI, as well as insurance types, African American and Hispanic children get fewer tests than white children.

Portfolio includes 2D- and 3D-products for general and sub-specialty radiology.

Can you diagnose this patient?

Taking steps to improve pediatric imaging, comforting patients and securing high-quality scans, is critical now and for the post-pandemic era.

COVID-19 and Long-Term Lung Effects; Reduce Emergency Department Imaging Recalls; COVID-19, Myocarditis, and Athletes; Plus, New Recommendation for X-ray Gonad Shielding

Patient swallows multiple foreign bodies.

Based on imaging and other factors, researchers determine that lung health recovery is not linked to severity of COVID-19 illness.

Here's what to expect this week on Diagnostic Imaging.

GLIDE Technology ™ is designed to provide individualized, motorized assistance to X-ray technologists, potentially reducing injuries and shortening exam time.

COVID-19 Damage, but No Virus in the Brain; Non-Ferromagnetic Bullets and the MRI; Six Trends to Watch in 2021; and AI and Ethics

As imaging volumes continue to rise, experts offer a targeted solution that could lead to faster throughput.

Radiologists can use X-rays and CT scans to identify features left by non-ferromagnetic ballistic fragments, opening the door to MRI imaging for some patients.