
Racial and ethnic minority patients show more severe cases on chest X-ray, fueled by socioeconomic factors.

Racial and ethnic minority patients show more severe cases on chest X-ray, fueled by socioeconomic factors.

Technique splits X-ray beam into thin streams that deliver the same image quality with reduced dose.

Using a deep learning-based automatic detection algorithm can identify more lung cancers on chest X-ray, potentially avoiding unneeded chest CT and accelerating treatment.

From virus behavior, to patient impact, to imaging implementation – what we know so far.

University Hospitals Cleveland Medical Center/Case Western Reserve saw a 55-percent overall imaging volume drop during the pandemic and unearthed some commonalities with other, harder-hit areas.

From February to April 2020, outpatient imaging in rural areas fell 66 percent.

Diagnostic Imaging's Weekly Scan; July 10, 2020

Philips thinks outside-the-box by turning shipping containers into individual CT and X-ray scan rooms.

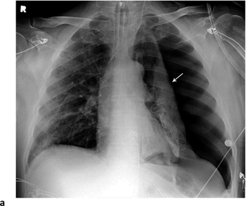
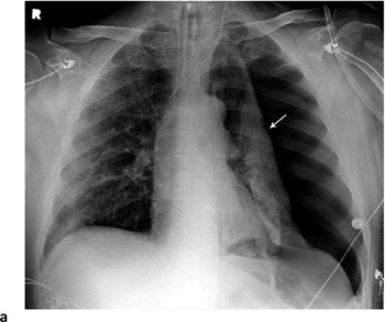
Patients positive for the virus are more likely to experience barotrauma, putting them at risk for longer hospital stays and mortality.

Radiologists who use more mouse clicks to process radiographs have higher turnaround times.

Database intended to be the largest open database of COVID-19-related imaging worldwide.

Diagnostic Imaging Weekly Scan: June 26, 2020

Multisystem Inflammatory Syndrome in Children appearing in pediatric patients with COVID-19 infection and exposure.

Deep learning algorithm is more accurate in predicting which patients with knee osteoarthritis might need a total knee replacement.

New artificial intelligence system can detect eight abnormalities, potentially facilitating radiology reporting, diagnosis, and treatment.

Researchers from Mount Sinai examine and assess the imaging modalities used to evaluate patients positive for the virus.

4D lung imaging process quickly analyzes lung impairments from single X-ray.

Advanced imaging techniques are being used to pinpoint antibodies that could lead to preventive treatment.

Radiology department staff have the ability – and responsibility – to calm patient anxieties about imaging studies and the virus during the pandemic, says one radiology supervisor.

Software supports CT and X-ray chest imaging.

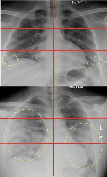
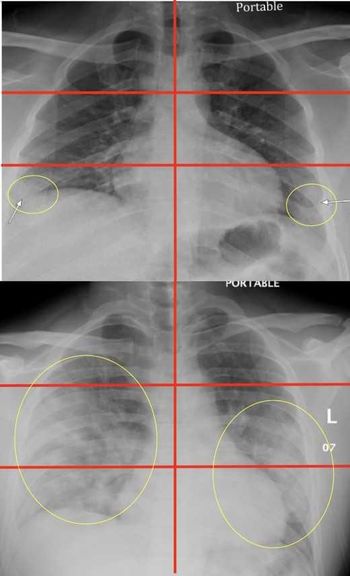
Research reveals lung findings not typically associated with viral pneumonia.

Diagnostic Imaging's Weekly Scan: May 15, 2020

X-ray classification system developed at Mount Sinai can help identify patients who will most likely need hospitalization and intubation.

Built-in touch screen acquires images directly onto the device and transmits to PACS without a PC.

Emergency medicine expert panel outlines support for using point-of-care ultrasound with patients with suspected infection.