
What is causing this appearance on small bowel GI series follow-through?

What is causing this appearance on small bowel GI series follow-through?

What is causing this appearance on this barium study?

What do you see on this X-ray of the forearm?

Identifying these easily missed breaks can save patients from future negative complications or loss of function.

Move will add surgical imaging system to product portfolio.

A proof-of-concept, personalized shield could protect patients receiving radiation therapy from mouth and gastrointestinal tract injuries.

Findings support the growing call to no longer require a radiologist’s presence for a barium swallow study.

Patients who have long-lasting, lingering symptoms of COVID-19 could present a growing impact on imaging services.

In high pre-test probability and quick RT-PCR settings, chest X-ray scoring can be predictive.

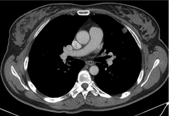
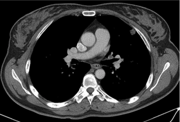
What is the diagnosis in this patient who is a 68-year-old male?

Four ways imaging vendors can help.

What's your diagnosis of this X-ray?

Impact felt the most in specialties with high screening rates, least in interventional radiology.

Device is intended to be an early X-ray detection tool for preventive care.

The latest products released on the market for Quarter 1 2021.

What is your diagnosis from this hand X-ray?

What is your diagnosis for a pediatric patient who presents with findings on a foot radiograph?

Pairing machine learning methods with chest X-rays can potentially improve viral detection in areas where access to swab testing and chest CT scans is inadequate.

Here's what to expect this week on Diagnostic Imaging.

Chest X-ray and Chest CT for TB Detection; Contrast-Enhanced Mammography for Women with Breast Implants; Risk-Based Approach to Optimizing Mammography During Crisis; Plus, Natural Language Processing for COVID-19 Case Volume Prediction

Using a deep-learning detection system at the time of image interpretation – not as a second reader – improves accuracy.

A 2-day-old baby fails to pass meconium - what is your diagnosis?

Decline in number of TB cases is slowing in the United States, making timely identification critical.

Here's what to expect this week on Diagnostic Imaging.

Non-invasive treatment offers pain relief for more than a year – an improvement over radiation therapy.