
As the once singularly important diagnostic applications are joined by ones designed to evaluate new weapons for fighting disease, imaging technologies are being adapted to deliver novel information.

As the once singularly important diagnostic applications are joined by ones designed to evaluate new weapons for fighting disease, imaging technologies are being adapted to deliver novel information.

Not even two months have passed since a private equity firm snagged teleradiology provider Virtual Radiologic, but in that time the imaging industry has played host to several other such deals. The most recent was a bid by Hologic, announced earlier this week, to acquire privately held Sentinelle Medical. Others are Sonosite’s purchase of a different Canadian company, VisualSonics of Toronto, completed just a few days ago, and Covidien’s pending acquisition of ev3, a maker of interventional devices.

An intractable foe of what makes people what they are suddenly seems vulnerable, and it is imaging that has struck the blow. In a clinical trial at Johns Hopkins University, a PET agent built around fluorine-18 readily and safely distinguished the brains of Alzheimer’s disease patients from those of healthy volunteers. And the Johns Hopkins researchers are not alone. Several pharma companies, big and small, are on the same track.

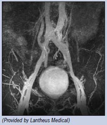
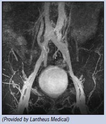
Ablavar, the only commercially available blood pool MR contrast agent, lights up vasculature in this steady-state MR angiogram.

Awareness can be a powerful tool. When 50 centers performing coronary CTA compared protocols, they found that some were exposing patients to 10 times the radiation dose others were.

The evolution to isotropic voxels and advances in cheap and powerful computer processing have transformed radiology from a planar science to one that is volumetric.

They are nearly microscopic, yet ganged together they can pack a big punch. They are microbeads embedded with radioisotopes and infused into body parts containing cancer tumors. The idea is to surround and destroy the tumor. The problem is making sure the microbeads stay put. SPECT/CT can provide the information to make it work.

At two minutes, thirty-nine seconds, Whip It was succinct and fittingly staccato, characteristics that in 1980 propelled the band DEVO to the top of the charts. Now DEVO is cracking a capitalist whip, rewriting the song’s lyrics to tout the unveiling of D-EVO (digital evolved), Fujifilm Medical Systems USA’s new portable flat-panel detector. It is the end of an era.

The CT marketplace in the U.S. is teetering on the edge of somnolence, a smoky gray purgatory stirred by a wafting hope of redemption but stalled in melancholy. CT has slipped into this netherworld following the manic adoption of 64-slice scanners, which has saturated the U.S. installed base with CT functionality that can meet all routine -- and some extraordinary -- clinical needs.

With its add-on software and higher performance coils, field-upgradeable MR scanners are the lifeblood of the imaging community. But systems with upgradeable fields are rare.

Reducing the number of breast biopsies by better classifying suspicious lesions noninvasively could improve healthcare and cut healthcare costs, laudable goals in the current era of healthcare-and economic-reform.

In the wake of the slice wars, which saw CT scanners boom from four to 320 slices, a new battle will be fought, one focused on energy and spectral imaging. Photon counting, triple- and quad-energy systems, and a new breed of contrast agents are emerging drivers in the development of spectral CT, say some experts in topics scheduled for the Tuesday, May 18, ISCT session on Dual Energy and Spectral Imaging.

A dramatic shift in R&D toward patient safety has taken place in the CT industry, a shift most clearly seen in efforts to reduce patient radiation dose. Iterative reconstruction algorithms are a prominent fixture at the ISCT meeting this year, as they and their future development are increasingly seen as providing the means to cut dose, while maintaining or even boosting image quality.

Fears that revenues last year from the sale of new CTs in the U.S. would slide to levels not seen in a long time proved to be well founded, as the industry suffered its worst year in more than a decade.

The laws of physics cannot be broken-but they can be bent.

Radiologists have come to expect rising demand for CT, which is why anecdotal reports of sudden and dramatic falls in CT volumes have sent a shudder through the community. All the more alarming is that the rumored drop-offs are coming at the request of patients who want nothing to do with CT because they fear its radiation will someday cause cancer. Instead they reportedly are demanding ultrasound or MRI because neither has ionizing radiation -- never mind that neither is indicated, nor, particularly in the case of ultrasound, has much chance of providing useful information.

Efforts to interconnect information systems raise the possibility that different experiences from multiple sites might be pooled and the practice of medicine made better through a kind of collective wisdom. At the ISCT symposium, Sandy Napel, Ph.D., a Stanford professor of radiology and codirector of the Radiology 3D Laboratory, examined how diagnoses made on some patients might help clarify whether the same diagnoses apply to others.

Iterative reconstruction algorithms will have a “profound effect” on CT as the enabling technology for advances in image quality and patient safety, said Stanford radiology professor Geoffrey Rubin at the ISCT symposium on multidetector row CT.

Clinical studies examining the potential of CT exposure to cause cancer are under way, but it could be years or even a decade until the results are known. Even then, they may be inconclusive, say expert presenters at the ISCT symposium on MDCT.

GE Healthcare jumped ahead of competitors in the race to cut patient dose with the commercial release in 2008 of its Adaptive Statistical Iterative Reconstruction (ASIR), the first software to clean up CT images and, in the process, allow dramatic reductions -- up to 50% -- in patient radiation dose. In the first day of this year’s ISCT symposium, iterative reconstruction was hailed repeatedly as the leading solution to the hottest issue in CT patient safety.

TeraRecon’s “iNtuition Cloud” debuted as a commercially available product May 18 at the ISCT symposium. The newly available system is the company’s flagship iNutition solution in “Software as a Service” form.

While some may ask whether the CT community should transition to low kV, Willi A. Kalender, Ph.D., a professor in the Institute of Medical Physics at the University of Erlangen, in Germany, asks why not.

Three-D is all the buzz, as PACS companies struggle to include it in their products, if they haven’t already. But where this form of advanced visualization fits into the diagnostic process is still up in the air. Ironically, so are some of the everyday tools on which advanced visualization depends. Trust issues about the automation that makes sophisticated postprocessing viable are beginning to surface, just as progress in CAD offers new clinical capabilities.

Gone, thankfully, are the days of million-dollar workstations whose end products, 3D figurines, looked more like Visible Man models than radiologic reconstructions. Not that they weren’t impressive. They were, rotating as they did, on color screens when gray scale was in vogue. But they were as clinically useful as they were dramatic.

In the wake of the slice wars, which saw CT scanners boom from four to 320 slices, a new battle will be fought, one focused on energy and spectral imaging. Photon counting, triple- and quad-energy systems, and a new breed of contrast agents are emerging drivers in the development of spectral CT, say some experts in topics scheduled for the Tuesday, May 18, ISCT session on Dual Energy and Spectral Imaging.

A dramatic shift in R&D toward patient safety has taken place in the CT industry, a shift most clearly seen in efforts to reduce patient radiation dose. Iterative reconstruction algorithms are a prominent fixture at the ISCT meeting this year, as they and their future development are increasingly seen as providing the means to cut dose, while maintaining or even boosting image quality.

Three cases-one for the colon, a second in cardiology, and a third addressing the liver-will serve as the playing fields for this year’s Workstation Face-Off. Seven companies will go head to head Wednesday May 19 from 3:30 to 6 p.m. with luminaries putting their workstations through carefully choreographed steps.

Fears that revenues last year from the sale of new CTs in the U.S. would slide to levels not seen in a long time proved to be well founded, as the industry suffered its worst year in more than a decade.

The last decade-plus has seen unprecedented development in all aspects of CT technology. Presenters will kick off the International Society for Computed Tomography symposium Tuesday morning May 18 looking at this evolution as part of the “Technology: Present and Future” session.

Nearly two decades have passed since the makers of imaging equipment began servicing equipment remotely. This revolutionary concept was a reaction to threats mounted by former field technicians of the giant equipment makers, self-styled entrepreneurs who promised to keep MR and CT scanners running at half the price charged by their previous employers.