
The Naeotom Alpha class of photon-counting computed tomography (PCCT) scanners emphasize significantly reduced scan times and enhanced detection of small abnormalities.
Senior Editor, Diagnostic Imaging

The Naeotom Alpha class of photon-counting computed tomography (PCCT) scanners emphasize significantly reduced scan times and enhanced detection of small abnormalities.

In a study involving over 24,000 women, two-thirds of whom had dense breasts, adjunctive AI led to a significantly higher rate of cancer detection for breast radiologists with no difference in recall rates.

The use of ultra-high-resolution photon-counting CT in the evaluation of stable chest pain may significantly reduce follow-up tests and invasive coronary angiography (ICA) procedures, possibly resulting in millions in health-care cost savings, according to a cost-effectiveness analysis presented recently at the European Congress of Radiology.

The use of ivonescimab was correlated with a median 5.3-month improvement in progression-free survival (PFS) over pembrolizumab in patients with PD-L1 positive non-small cell lung cancer, according to CT and MRI findings from a phase 3 randomized multicenter trial.

While high-resolution ultrasound offered nearly 10 percent higher specificity in the detection of upper extremity peripheral neuropathy, magnetic resonance neurography provided a nearly 23 percent higher sensitivity rate in a recent study.

In an 18-study meta-analysis involving over 4,600 patients, researchers found that bpMRI and mpMRI had equivalent pooled negative predictive value (NPV) of 92 percent for clinically significant prostate cancer (csPCa).

Offering four key software-as-a-service features, the cloud-based enterprise imaging suite reportedly offers enhanced security and storage and facilitates streamlined radiology workflows.

In a comparative study of staging systems for hepatocellular carcinoma, the Barcelona Clinic Liver Cancer (BCLC) system offered the highest likelihood ratio (LR) and lowest Akaike information criteria (AIC) for predicting overall survival after transarterial chemoembolization (TACE) for hepatocellular carcinoma.

Ultra-high spatial resolution with photon-counting CT facilitated a 33 percent reduction in the assessment of median total plaque volume and a 45 percent higher inter-reader agreement for evaluation of low-attenuation plaque volume in contrast to energy-integrating detector (EID) CT.

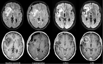
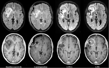
In a comparison of contrast-enhanced T1-weighted (CET1w) MRI (and T2-weighted MRI/FLAIR imaging, researchers found that only three out of 82 cases of glioma progression were solely detected with CET1w MRI.

The F.A.S.T. aiCockpit CT Lung Nodule reportedly facilitates enhanced CT workflow and automated reporting for evaluation of lung nodules

A deep learning-enhanced ultra-fast bpMRI protocol offered similar sensitivity for csPCa as mpMRI with an 80 percent reduction in scan time, according to research findings presented at the European Congress of Radiology (ECR) conference.

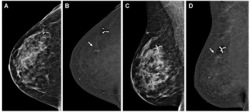
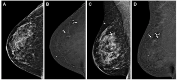
In addition to contrast-enhanced mammography (CEM) demonstrating over a 90 percent detection rate for multifocal masses, researchers found that no significant difference between histological measurements and CEM, according to study findings presented at the European Congress of Radiology.

In a multicenter study involving over 1,000 patients, a deep learning software offered comparable sensitivity and specificity for Gleason grade group > 2 tumors in comparison to radiologist interpretation.

In a recent interview, Emily Conant, M.D., discussed findings from two studies presented at the European Congress of Radiology (ECR) conference that showed the potential impact of image-based AI risk models and breast arterial calcification detection in mammography screening.

In a recent interview, Abhinav K. Jha, Ph.D., discussed key challenges with the use of SPECT MRI and how an emerging deep learning model may facilitate attenuation compensation without the need for an additional computed tomography (CT) scan.

The updated software reportedly enables a threefold improvement in MRI scan time and enhanced image sharpness.

In patients who had at least four cycles of 177Lu-PSMA-I&T for mCRPC, new research shows that a 10 percent or greater decrease in total kidney volume on CT at six months has a 90 percent AUC for predicting estimated glomerular filtration rates (eGFRs) of 30 percent or greater at one year.

Adolescents with post-COVID-19 conditions had 37 percent lower quantified lung perfusion than healthy control participants on phase-resolved functional lung MRI, according to findings from a recent prospective study.

Recent multicenter research showed a 22 percent improvement in the detection of fetal anomalies with the Sonio Suspect AI-powered ultrasound module.

In a recent literature review, researchers offered insights on current considerations with prostate MRI and discussed keys to effective use of the modality in screening for prostate cancer.

Low tumor sphericity on preoperative MRI is associated with a significantly higher mortality rate in patients with IDH-wildtype glioblastoma, according to a new study.

Researchers found that the use of seven-minute threefold parallel imaging-accelerated deep learning 3T MRI had 89 percent sensitivity for supraspinatus-infraspinatus tendon tears and 93 percent sensitivity for superior labral tears.

The updated AI-enabled software reportedly facilitates enhanced MRI imaging of the brain, abdomen, and pelvis.

The PET radiopharmaceutical SAR-bisPSMA has garnered three FDA fast track designations in a six-month period for use in the detection and management of prostate cancer.

Women with uterine fibroids and Medicaid coverage are significantly more likely to be treated with uterine artery embolization than those with commercial insurance, according to newly published research.

The open-source, deep learning MRI segmentation tool reportedly offers over a 10 percent higher Dice score than similar segmentation models for 40 anatomical structures.

Black, Hispanic, and Asian women were over 25 percent less likely than White women to have same-day follow-up diagnostic service after abnormal findings on screening mammography exams, according to a new study involving over one million patients.

In a study involving assessment of over 1,000 thyroid nodules, researchers found the machine learning model led to substantial increases in sensitivity and specificity for estimating the risk of thyroid malignancy over traditional TI-RADS and guidelines from the American Thyroid Association.

Researchers found that patients with high PSA density have more than double the risk of false-negative findings on prostate MRI and those with low PSA density are significantly less likely to have false-positive results.