
Offering an array of AI-powered automation and image optimization, the new Elevate software is geared to maximizing workflow efficiencies for the EPIQ Elite and Affiniti ultrasound systems.
Senior Editor, Diagnostic Imaging

Offering an array of AI-powered automation and image optimization, the new Elevate software is geared to maximizing workflow efficiencies for the EPIQ Elite and Affiniti ultrasound systems.

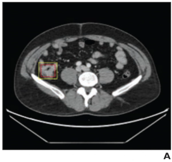
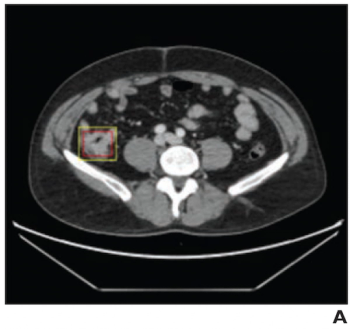
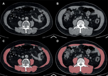
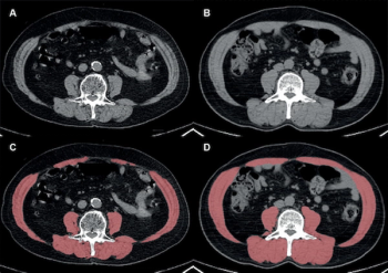
For the assessment of contrast-enhanced abdominopelvic CT exams, an artificial intelligence model demonstrated equivalent or better sensitivity than radiologist readers, and greater than 90 percent specificity for the diagnosis of colorectal cancer.

18F-DCFPyL facilitated detection of recurrent prostate cancer in 51 percent of patients with PSA levels ranging between 0.2 to 0.5 ng/ml, according to new research presented at the American Society of Clinical Oncology Genitourinary Cancers (ASCO-GU) Symposium.

Enabling up to 80 percent faster MRI scan times, the SubtleHD software is included in the newly launched AI software suite Subtle-Elite.

Reviewing current and emerging trends in imaging utilization and the impact of attrition rates and radiology residency positions on the field, researchers explore the future of radiology with two new provocative studies.

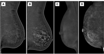
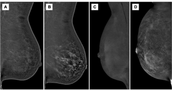
New research shows that premenopausal status, lactation, and hormone replacement therapy (HRT) all lead to higher background parenchymal enhancement grades on contrast-enhanced mammography.

Preoperative use of the scoring system for gadoxetic acid-enhanced MRI demonstrated an average AUC of 85 percent and average specificity of 89 percent in external validation cohorts for pathologic features of hepatocellular carcinoma.

A high intermuscular adipose index has a 49 percent increased likelihood of being associated with lower overall survival in patients with resectable non-small cell lung cancer (NSCLC), according to new research.

Anterior tumor location was over 14 times more likely to be associated with axillary metastasis after neoadjuvant treatment for breast cancer, according to new breast MRI and ultrasound research.

In a video interview from the International Stroke Conference (ISC), Jeremy Heit, M.D., Ph.D., discussed new research revealing over 90 percent sensitivity and specificity rates for AI detection of subdural hematomas on non-contrast-enhanced head CTs.
Phase 2 studies of the BR55 ultrasound contrast agent reportedly demonstrated a 95 percent accuracy in showing the expression of vascular endothelial growth factor receptor 2 (VEGFR2) in bowel segments reflecting active inflammation in patients with Crohn’s disease.

The Rapid LVO AI software detected 33 percent more cases of large vessel occlusion (LVO) on computed tomography angiography (CTA) than Viz LVO AI software, according to a new comparative study presented at the International Stroke Conference (ISC).

The PET/CT agent 18F-PSMA-1007 offered the highest surface under the cumulative ranking curve (SUCRA) out of nine radiotracers at the patient and lesion level for detecting clinically significant prostate cancer (csPCa), according to a meta-analysis.

Use of the mammography AI software had a nearly equivalent false positive rate as unassisted radiologist interpretation and resulted in a 44 percent reduction in screen reading workload, according to findings from a randomized controlled trial involving over 105,000 women.

Prior COVID-19 infection was associated with a 28 percent higher progression of total percent atheroma volume (PAV) annually and over a 5 percent higher incidence of high-risk plaque in patients with coronary artery lesions, according to CCTA findings from a new study.

Emphasizing the role of radiologists in facilitating timely diagnosis of Marfan syndrome, Alan Braverman, M.D. discussed the use of echocardiography, CT, and MRI in evaluating patients with this genetic aortic condition.

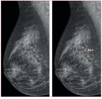
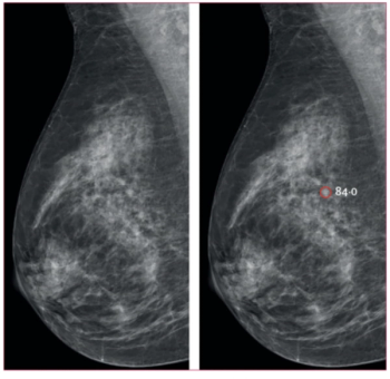
For women with intermediate risk and a personal history of breast cancer, an emerging AI system offered an 81 percent AUC for breast cancer detection, according to new research.

The artificial intelligence (AI)-enabled software Lumina 3D reportedly provides reconstructions of computed tomography angiography (CTA) images of the head and neck in minutes.

A predictive model for non-small cell lung cancer (NSCLC) recurrence, based on clinical parameters and CT findings, demonstrated an 85.2 percent AUC and 83.3 percent sensitivity rate, according to external validation testing in a new study.

In external validation testing, a deep learning model demonstrated an average AUC of 87.6 percent for detecting clinically significant prostate cancer (csPCA) on prostate MRI for patients with PI-RADS 3 assessments.

For those without low skeletal muscle mass on CT and myosteatosis, obese patients have a 23 percent lower risk of death than non-obese patients after undergoing curative resection for non-small cell lung cancer, according to newly published research.

For patients with newly diagnosed obstructive coronary artery disease (CAD), a multimodal machine learning model offered an 86 percent AUC for predicting MACE, which was 10 percent higher than CCTA alone and over 35 percent higher than the Framingham Risk Score.

Designed for advanced OB-GYN applications, the Samsung Z20 ultrasound platform reportedly provides a combination of artificial intelligence (AI) tools and enhanced ergonomics.

An array of AI-powered features and automated tools may lead to improved workflow and image quality with the Voluson Expert 22, 20 and 18 ultrasound systems.

In a recent interview, Joshua Gowin, M.D., discussed emerging brain MRI research that showed a significant association between heavy lifetime use of cannabis and reduced brain activity for working memory tasks in young adults.

In a recent interview, Amy Patel, M.D., discussed key points of emphasis for legislative advocacy in radiology, including long-term reform in Medicare reimbursement, improved coverage of breast cancer screening and mitigation of the ongoing radiology workforce shortage.

In addition to an August FDA fast track designation for PSMA PET imaging in patients with suspected metastasis, the radiopharmaceutical 64Cu-SAR-bisPSMA has earned another fast track designation for imaging of biochemical recurrence.

Doubling of total tumor volume on PSMA PET/CT is 41 percent more likely to reduce overall survival in patients with metastatic castration-resistant prostate cancer (mCRPC), according to new research.

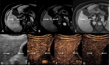
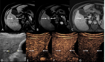
For patients previously assessed with LI-RADS LR-4 and LR-M presentations based on MRI or CT findings, the use of contrast-enhanced ultrasound led to 30 percent of these patients having LR-5 assessments definitive for hepatocellular carcinoma.

An emerging deep learning radiomics model based on biparametric MRI (bpMRI) offered a 14 to 17 percent higher AUC range than PI-RADS scoring for predicting the aggressiveness of prostate cancer, according to new research findings.