
The latest ultrasound software update from Clarius includes new artificial intelligence (AI) capabilities, coding assistance and a variety of advances tailored to different fields of medicine.
Senior Editor, Diagnostic Imaging

The latest ultrasound software update from Clarius includes new artificial intelligence (AI) capabilities, coding assistance and a variety of advances tailored to different fields of medicine.

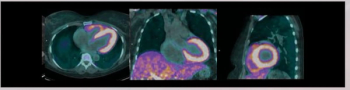
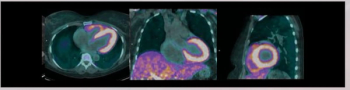
Previously approved for the detection of neuritic beta amyloid plaque, the PET agent (18F)florbetaben is currently being evaluated in a phase 3 multicenter trial for the diagnosis of cardiac amyloidosis.

Emerging research suggests that a deep learning model may offer 92 percent sensitivity in lung tumor detection on CT scans and up to a 59 percent reduction in tumor segmentation time.

For patients with mild cognitive impairment (MCI), early changes with respect to decreased intra-network connectivity involving the default mode network or salience network may aid in differentiating between the development of Alzheimer’s disease and Parkinson’s disease, according to new MRI research.

In the second part of a two-part interview, Nina Kottler, M.D., says the transparency emphasis of the recent FDA guidance on AI-enabled software is welcome but needs to go beyond additional documentation to clarify how adjunctive AI is making its decisions.

In an update of previous guidelines from the European Society of Urogenital Radiology published in 2010, a 21-expert panel offered consensus recommendations on the utility of CT, MRI and PET-CT in the staging and follow-up imaging for patients with ovarian cancer.

In the second part of a two-part interview on the recently published appropriate use criteria for brain positron emission tomography (PET) for patients with mild cognitive impairment (MCI), Phillip Kuo, M.D. discusses clinical cases involving the use of amyloid and tau PET imaging.

In sequential breast cancer screening with digital breast tomosynthesis (DBT), true positive examinations had more than double the AI case score of true negative examinations and the highest positive AI score changes from previous exams, according to new research.

The CDM Insights software, which can be utilized with scans from 1.5T and 3T MRI, reportedly provides new measurements of cortical thickness and brain microstructure.

In the first part of a two-part interview, Nina Kottler, M.D. offers insights and perspective on the recently issued guidance from the FDA on AI-enabled devices and how it may impact developers in the radiology field.

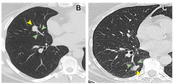
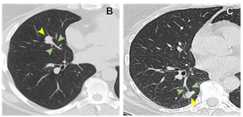
In computed tomography (CT) scans for patients with solid non-small cell lung cancer (NSCLC) < 30 mm, emerging research suggests the lollipop sign is associated with a greater than fourfold likelihood of angiolymphatic invasion.

Deep learning synthesis of contrast-enhanced MRI from non-contrast prostate MRI sequences provided an average multiscale structural similarity index of 70 percent with actual contrast-enhanced prostate MRI in external validation testing from newly published research.

In a recent interview, Phillip Kuo, M.D., discussed the impact of newer anti-amyloid antibody therapies for Alzheimer’s disease upon recently issued appropriate use criteria (AUC) for amyloid positron emission tomography (PET) imaging as well as the incorporation of tau PET into the AUC for patients with mild cognitive impairment.

Employing baseline MRI and clinical data, an emerging deep learning model was 32 percent more likely to predict the progression of low-risk prostate cancer (PCa) to clinically significant prostate cancer (csPCa), according to new research.

The IQ-UIP AI software may bolster computed tomography diagnosis of usual interstitial pneumonia (UIP), which is reportedly misdiagnosed in over 50 percent of cases.

In a literature review that includes insights from recently issued guidelines from multiple European medical societies, researchers discuss the role of magnetic resonance imaging (MRI) in facilitating appropriate patient selection for fertility-sparing treatments to address early-stage endometrial and cervical cancer.

InkSpace Imaging’s 24-channel MRI coil, which will be included in Magnetom 1.5T scanners from Siemens Healthineers, reportedly facilitates quicker set-ups for technologists and enhanced spatial resolution.

In a study of over 463,000 women who had screening mammography exams, adjunctive AI led to a 17.6 percent higher detection rate for breast cancer and a three percent increase in positive predictive value for recalls.

After propensity score matching in a study of over 3,000 women with a personal history of breast cancer, researchers found that surveillance breast MRI facilitated a 59 percent lower risk in advanced presentations of second breast cancers.

The appropriate use criteria (AUC) reflect updates to the 2013 AUC for amyloid PET and new criteria for tau PET in the diagnosis and monitoring of patients with mild cognitive impairment (MCI).

In a recent interview, Arlene Sussman, M.D., discussed her experience in leading vRad’s teleradiology breast imaging service, how to foster personalized care in breast cancer screening, utilizing AI to help mitigate daunting worklists and improving access to subspecialty care.

Survey results revealed that 71 percent of clinicians preferred adjunctive AI in facilitating triage of brain MRI scans and 58 percent were comfortable utilizing AI triage without input from radiologists.

For hepatocellular carcinoma screening, a 19-study meta-analysis found the abbreviated MRI sequencing protocol of T2-weighted MRI, diffusion-weighted imaging (DWI) and hepatobiliary phase (HBP) imaging offered 88 percent sensitivity and 93 percent specificity.

In patients with high-risk, hormone sensitive prostate cancer who had no evidence of metastasis on conventional imaging, PSMA PET revealed polymetastatic disease in 24 percent of patients and M1 disease staging in 46 percent of patients.

Adjunctive AI offered greater than seven percent increases in sensitivity, specificity, and accuracy for ultrasound detection of ovarian cancer in comparison to unassisted clinicians who lacked ultrasound expertise, according to findings from new international multicenter research.

For patients with localized prostate cancer and PI-RADS 3 or higher lesions, MRI-guided micro-ultrasound multifiber focal laser ablation had an 18 percent recurrence rate at one year, according to newly published research.

In the third part of a three-part interview from the recent RSNA conference, Mark Traill, M.D., discusses the potential of image-based risk assessment artificial intelligence (AI) algorithms in bolstering adherence to screening protocols for women at high risk for breast cancer.

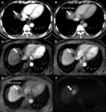
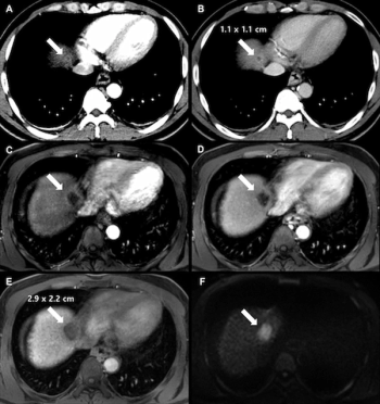
Seventy percent of LR-M hepatocellular carcinoma (HCC) cases were associated with rapid growth in comparison to 12.5 percent of LR-4 HCCs and 28.5 percent of LR-4 HCCs, according to a new study.

Catch up on video interviews from the recent 2024 Radiological Society of North America (RSNA) conference.

In the second part of a three-part interview from the recent RSNA conference, Mark Traill, M.D., emphasizes patience and monitoring with the assessment of AI to ensure optimal use of the technology to help ease the strain of increasing breast imaging volume.