
In the first of a three-part interview from the recent RSNA conference, Mark Traill, M.D., discusses current challenges in breast radiology and the potential of AI to help mitigate some of these issues.
Senior Editor, Diagnostic Imaging

In the first of a three-part interview from the recent RSNA conference, Mark Traill, M.D., discusses current challenges in breast radiology and the potential of AI to help mitigate some of these issues.

In a new study involving nearly 600 biopsy-naïve men, researchers found that only 4 percent of those with negative prostate MRI had clinically significant prostate cancer after three years of active monitoring.

Convolutional neural network-enabled segmentation of brain MRI offered a 25.7 percent higher specificity than a radiomic model for differentiating radionecrosis and metastatic progression in patients treated with stereotactic radiosurgery for brain metastases.

Ten-minute and five-minute knee MRI exams with compressed sequences facilitated by deep learning offered nearly equivalent sensitivity and specificity as an 18-minute conventional MRI knee exam, according to research presented recently at the RSNA conference.

The use of an adjunctive machine learning model led to 17 and 21 percent improvements in the AUC and sensitivity rate, respectively, for PET/MRI in diagnosing extraprostatic tumor extension in patients with primary prostate cancer.

A CT-based radiomic model offered over 10 percent higher specificity and positive predictive value for high-risk lung adenocarcinoma in comparison to a radiographic model, according to external validation testing in a recent study.

In a recent interview at the RSNA conference, Raj Chopra, MD shared his insights on the continued rise of cyberattacks, the impact of these attacks in radiology and keys to prevention and effectively responding to such events.

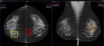
New research suggests that AI-powered assessment of digital breast tomosynthesis (DBT) for short-term breast cancer risk may help address racial disparities with detection and shortcomings of traditional mammography in women with dense breasts.

The authors of a new study found that deep learning assessment of single-phase CT scans provides comparable within-one stage accuracies to multiphase CT for detecting and staging chronic obstructive pulmonary disease (COPD).

For patients with suspected or known coronary artery disease (CAD) without percutaneous coronary intervention (PCI), researchers found that those with a normal CTA-derived quantitative flow ratio (CT-QFR) had a 22 percent higher MACE-free survival rate.

In an interview at the RSNA conference, Sundus Lateef, MD, discussed the rise of silicosis and associated CT findings in a recent study of engineered stone countertop workers.

In a new point-counterpoint discussion published in the American Journal of Roentgenology, researchers debate the merits and limitations of the Prostate Imaging Reporting and Data System (PI-RADS) version 2.1.

In patients with PI-RADS 3 lesion assessments, the combination of AI and prostate-specific antigen density (PSAD) level achieved a 78 percent sensitivity and 93 percent negative predictive value for clinically significant prostate cancer (csPCa), according to research presented at the Radiological Society of North American (RSNA) conference.

In research involving over 2,200 women who had SPECT MPI exams, researchers found that those who had a high score with the COronary Risk Score in WOmen (CORSWO) model had a greater than fourfold higher risk of major adverse coronary events (MACE).

Emerging research from the RSNA conference suggests that two-dimensional mammography would only detect 41 percent of detectable breast cancer.

In a recent interview, Sarah Friedewald, MD, discussed new study findings for an adjunctive AI software for digital breast tomosynthesis (DBT) that revealed nearly equivalent sensitivity and specificity rates for breast cancer across a diverse cohort.

The Nanox.ARC X-ray system, which offers 3D tomosynthesis capabilities, can now be utilized for pulmonary, intra-abdominal and paranasal imaging.

In a multicenter study involving over 747,000 women who had mammography screening, those who paid for AI-enhanced screening had a 21 percent higher recall rate and a 15 percent higher positive predictive value (PPV) for breast cancer, according to research presented at the Radiological Society of North America (RSNA) conference.

In a recent interview at the RSNA conference, Shadpour Demehri, MD and Kamyar Moradi, MD discussed new brain MRI research findings that demonstrated a link between increased dementia risk and sarcopenia with the temporalis muscle.

Sixty-eight percent of radiation oncologists said average delays with prior authorization are five days or more, and seven percent of survey respondents said these delays have been a contributing factor in the death of cancer patients.

The computed tomography device reportedly offers enhanced post-processing of images as well as bolstered image reconstruction capabilities with an 80 percent reduction in radiation dosing.

In a cohort of over 160 patients with knee osteoarthritis (OA), including grade 4 in nearly half of the cases, genicular artery embolization led to an 87 percent improvement in the quality of life index, according to research presented at the recent RSNA conference.

The Max 3 syringe-less injector reportedly offers improved efficiency and intuitive features with contrast media use for magnetic resonance imaging.

Debuting at the Radiological Society of North American (RSNA) conference, the new photon-counting computed tomography (PPCT) scanners Naeotom Alpha.Pro and Naeotom Alpha.Prime reportedly combine rapid scan times with high-resolution precision.

Higher visceral adipose tissue reportedly accounted for 77 percent of the association between Alzheimer’s disease and high body mass index (BMI), according to new research presented at the Radiological Society of North America (RSNA) conference.

Originally cleared by the FDA in 2021, the SmartMammo Dx software for digital breast tomosynthesis (DBT) can now be utilized with the Senographe Pristina mammography systems from GE HealthCare.

Higher repetitive head impacts in adult soccer players were associated with lower fractional anisotrophy and a higher orientation dispersion index in the frontal lobe, orbitofrontal cortex, and the parietal lobe, according to diffusion MRI findings to be presented at the Radiological Society of North America (RSNA) conference.

The new mammography system reportedly offers features that promote workflow efficiency as well as patient comfort.

Slower aperiodic activity on magnetoencephalopathy may be associated with higher post-concussion symptomatology in high-school football players, according to new research to be presented at the Radiological Society of North America (RSNA) conference.

For patients with Long Covid, lower pulmonary gas exchange may be associated with lower gray and white matter volume, according to new MRI research to be presented at the Radiological Society of North America (RSNA) conference.