
Diagnostic Imaging's Weekly Scan, April 24, 2020
Whitney J. Palmer has been with Diagnostic Imaging since 2011, serving as the Senior Editor since November 2019. She has 20 years experience in healthcare and academic medicine reporting.

Diagnostic Imaging's Weekly Scan, April 24, 2020

Agency outlines modifications that will and won’t be accepted without approval during the outbreak.

Starting to prepare for the return to normalcy now can help you manage a heavy workload in the near future.

International expert group offers recommendations for proper imaging of younger infected patients.

An international group of radiologists and vascular specialists published recommendations for blood clot prevention, diagnosis, and treatment.

An artificial intelligence algorithm uses 3D MRI images to identify a specific genetic mutation that prompts tumor development.

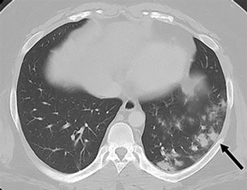
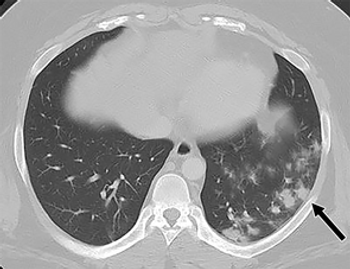
Submillisievert chest CT scans offer quick and accurate assessment, particularly in patients with symptoms more than 48 hours.

Reduced radiation exposure and virus transmission is possible for both patients and providers.

Signapore General Hospital's “touch-me-not” policies for staff and patients.

Providers and vendors receive an extended timeline for data sharing and health IT certification.

Use of the categorization tool produces results that vary widely across institutions.

The viral outbreak presents new challenges and tests of conscience.

With more details about benefits and harms of annual screening, fewer women opt for the study.

Study comparison should three-times more cancers among first responders, many of whom are asymptomatic.

High false negative rates could expose patients to unnecessary radiation and deplete medical resources.

Abdominal CT scans show evidence of COVID-19 infection in lung base.

Protocol can minimize dose for CT scans when viral testing is less available.

Iranian Society of Radiology releases recommendations for CT scans in pregnant women with suspected viral infection.

While some facilitie still turn to CT for help with diagnosis, experts reiterate the shortcomings of the scan.

Diagnostic Imaging's Week in Review, April 16, 2020

Penn State offers patients quick management chest X-rays with little equipment exposure or need for decontamination.

Less imaging volume leaves radiologists with more down time.

Multi-modal approach maximizes imaging capabilities.

Practices can anticipate several months of financial disruption.

University of Washington saw America’s first COVID-19 cases, reaching the state’s peak on April 2. Radiology leaders share their measures to financially protect their department and the lessons they have learned.

World Federation for Ultrasound in Medicine and Biology Safety Committee offers recommendations to protect patients and providers.

Images show mainly normal or mildly abnormal findings in patients with confirmed viral infection.

Images similar to those found in patients with anosmia associated with other types of coronavirus infections.

510(k) clearance given to product for use in real-time surgery.

Astronauts experience a sustained increase in brain volume and other impacts.