
Eight recommendations released for imaging women post-mastectomy and breast reconstruction.
Whitney J. Palmer has been with Diagnostic Imaging since 2011, serving as the Senior Editor since November 2019. She has 20 years experience in healthcare and academic medicine reporting.

Eight recommendations released for imaging women post-mastectomy and breast reconstruction.

American College of Radiology recommends only using MRI in necessary circumstances.

In a time when interoperability could be key, facilities have fewer resources to make it a priority.

Diagnostic Imaging's Week in Review: April 10, 2020.

Researchers outline a 5-point prep plan that could help you weather the storm.

A third trimester ultrasound coupled with evaluating maternal characteristics could open door for monitoring and intervention.

Dr. Eliot Siegel discusses benefits, cautions, and long-term impact of using AI imaging tools during the outbreak.

Centers for Medicare and Medicaid Services fast-tracked assistance payments to providers hit financially by COVID-19.

Dr. Eliot Siegel discusses the role these tools play, as well as the challenges radiologists could encounter with using them.

Recommendations look to bring needed imaging equipment to facilities faster.

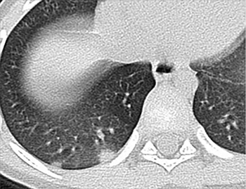
Fleischner Society outlines suggestions for when chest imaging can beneficially contribute to infection management.

Insights from industry experts on ways their departments have changed during the pandemic.

CT and MRI scans show neurological impacts.

Younger patients have milder symptoms, fewer positive CT scans, and less lung involvement.

Steps you can take, and what manufacturers should do to increase security.

Conference now planned for August.

Society categorizes patients based on risk associated with delaying services.

Study shows three risk factors for breast cancer can be passed down through genes.

Percentage of lung opacities can be used to rate the severity of disease.

Case of acute necrotizing encephalopathy could be first of many.

Recommendations based on the experiences of Italian providers.

CT scan and video reveal peripheral, multilobar areas of ground-glass opacity.

Using AI technologies when imaging isn’t recommended for detection offers little benefit, according to an industry expert.

Research reveals half of radiologists saw no change in their recall rates.

XRAIT tool finds more broken bones than X-Rays or CT scans of this population.

Open database will assist with disease detection and differentiation.

In locations with fewer resources, social media messaging is playing a key role in COVID-19 identification.

American Institute of Ultrasound in Medicine publishes 9 tips to protect patients and sonographers.

Eight-ounce scanner assesses heart function.

Study contradicts earlier research that had not shown transmission was possible.