
Alexander Towbin, M.D., from Cincinnati Children’s Hospital Medical Center shares his thoughts during SIIM 2020.
Whitney J. Palmer has been with Diagnostic Imaging since 2011, serving as the Senior Editor since November 2019. She has 20 years experience in healthcare and academic medicine reporting.

Alexander Towbin, M.D., from Cincinnati Children’s Hospital Medical Center shares his thoughts during SIIM 2020.

Go-to steps from a senior imaging informatics analyst during SIIM 2020 to bolster security efforts.

Multisystem Inflammatory Syndrome in Children appearing in pediatric patients with COVID-19 infection and exposure.

Women score worse than men in four key brain health areas associated with Alzheimer’s biomarkers.

COVID-19 is an additional factor in patients shying away from follow-up exams. Nuance Communication’s Sander Kloet shares his perspectives from SIIM on addressing this issue.

A dashboard to track the total image analysis time, as well as a daily performance report, reduced emergency department turnaround times and improved workflow.

Deep learning algorithm is more accurate in predicting which patients with knee osteoarthritis might need a total knee replacement.

Imaging method offers greater understanding into right-sided heart dysfunction.

Combining sound waves and a novel drug can reduce cancer cells by nearly 50 percent.

An analysis of a new law shows directly contacting patients about needed follow-up has little impact – greater radiologist involvement and communication with referring providers is needed.

Registry designed to improve patient care.

A group of female radiologists advise practices and departments to consider and address providers’ childcare needs when designing plans to re-open and resume normal work schedules.

New artificial intelligence system can detect eight abnormalities, potentially facilitating radiology reporting, diagnosis, and treatment.

Modified dynamic contrast-enhanced MRI can pinpoint a leaky blood-brain barrier in both active and retired players.

Radiologists must engage in social media messaging to regain control of information about AI use in diagnostic imaging.

Diagnostic Imaging's Weekly Scan: June 19, 2020

Patients who test negative with RT-PCR show lower levels of pulmonary consolidation on chest CT, indicating earlier disease.

MRI images captured on female rugby players reveal long-lasting impacts of head impacts on the brain.

Job market perceptions are bullish, but survey reveals the specialty still lags behind others with representation of women and underrepresented minorities.

Michigan Medicine identifies characteristics of positive leaders who will be effective now and in the future.

Three facilities share what is working best as they begin to screen more patients.

Three patterns emerge in patients analyzed in multi-institutional study.

One rural-based model shows bringing interventional radiology services to older patients in their home not only improve access to care, but also catapults patient satisfaction.

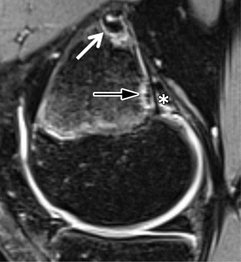
MRI-detected bony lesions located right above the knee in young athletes are common and harmless – and they should not be confused with more serious conditions, new research has revealed.

Radiologists using RSNA classification system largely agree on image assessments.

An ACR panel shares insights on what your practice could face in the next phase of the outbreak.

New method improves detection of disease changes.

Three MRI techniques can help neuroradiologists more effectively target pea-sized area of the brain that affects movement with fewer side effects.

AI model can help alleviate increased sonographer workload, but still has high missed diagnosis rate.

The Changes You Need to Make Post-COVID-19.