
Deep-learning model outperformed neuroradiologists in predicting risk for disease development.
Whitney J. Palmer has been with Diagnostic Imaging since 2011, serving as the Senior Editor since November 2019. She has 20 years experience in healthcare and academic medicine reporting.

Deep-learning model outperformed neuroradiologists in predicting risk for disease development.

Tool pinpoints incidental findings on CT scans that contain the lung or part of the lung.

The COVID-19 pandemic has had wide-ranging effects on the practice of medicine.

Research reveals some facemasks and respirators worn to protect against COVID-19 contain ferromagnetic components.

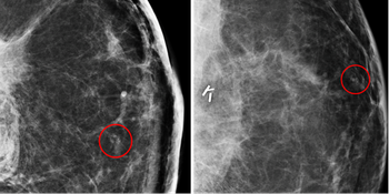
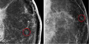
Research provides evidence for imaging mastectomy site during opposite-breast cancer screening.

Diagnostic Imaging's Weekly Scan: May 8, 2020.

Radiologists can use online videos as a way to correct inaccurate breast cancer screening messages.

Philips releases new transducer with 30-percent greater penetration for more-detailed images.

Experts suggest designing a strategy to handle the backlog of imaging studies now.

The American College of Radiology offers guidance for re-starting your elective imaging.

Emergency medicine expert panel outlines support for using point-of-care ultrasound with patients with suspected infection.

NIH-funded study reveals using diffusion-weighted MRI to evaluate therapy effectiveness could reduce dose by 80 percent.

Patients sit in their cars until texted that it’s time to enter the clinic for their scan.

Side-by-side images show lung ultrasound pinpoints same findings as low-dose chest CT.

Recommendations for administrators can ease the stress of providing care during the outbreak.

Accurate measures of brain volume could bolster assessments of neurological health.

After 2.5 hours, providers could successfully identify lungs with pathological patterns indicative of viral infection.

COVID-19 and other viral infections have unique imaging characteristics that can help with diagnosis, experts say.

Diagnosic Imaging talks with Khan Siddiqui, M.D., chief medical officer and chief strategy officer of bedside MRI company, Hyperfine.

Diagnostic Imaging Weekly Scan -- May 1, 2020

Superconducting head MRI approved for use in critical care environments.

The American College of Radiology outlines three financial priorities for practices as Congress considers a second round of support funding.

System uses ultraviolet light system to kills advanced viruses and bacteria in minutes.

Yale neurologist share first-hand experience with scanning patients positive for the virus.

Adding AI to manual reads improves accuracy, specificity, and sensitivity.

Together, RSNA and the American Society of Neuroradiology launched the largest collection of expert-annotated brain hemorrhage CT scans.

Six industry leaders discuss coping strategies for workflow, imaging volume, and revenue.

Imaging manufacturers ask agency to include recommendations from the Fleischner Society and AIUM to provider more nuanced guidance.

Expert panel developed six-category system to classify chest CTs and streamline structured reporting around COVID-19.

21-expert panel outlined 12 recommendations for when you can delay lung cancer screenings and lung nodule evaluations.