
MRI
Latest News
Latest Videos

Shorts
Podcasts
CME Content
More News

Pre-op breast MRI was associated with a 12.5 percent reduced 5-year cumulative incidence of recurrence for patients who underwent surgery for hormone receptor-negative cancer, according to newly published research.

Deep learning assessment of MRI offered a 24 percent higher sensitivity than radiologist interpretation for detecting lymph node metastasis in patients with colorectal cancer, according to a new meta-analysis.

Through the use of a multimodal system, Viz Assist provides generative AI summaries of patient histories that may ehance care coordination and facilitate more timely interventions.

The iron-based brain MRI contrast agent Ferabright (ferumoxytol injection) is indicated for adult patients with known or suspected malignant neoplasms.

While a new meta-analysis of the PI-RADS v2.1 criteria showed 96 percent and 88 percent sensitivity rates for PI-RADS category > 3 and PI-RADS category > 4 assessments respectively, researchers noted a high risk of bias in 29 percent of the reviewed studies.

While dynamic contrast enhanced breast MRI may help reduce biopsies for suspicious calcifications on mammograms, quantitative MRI features and diffusion-weighted imaging (DWI) may not provide additional diagnostic benefit in these cases, according to a new study.

Women who had an MRI prior to undergoing surgery for newly diagnosed breast cancer were 18 percent more likely to have a mastectomy, according to newly published research.

Catch up on the most-well viewed radiology content in September 2025.

Facilitating increased efficiency in radiation therapy planning, the new Rembra RT and Areta RT computed tomography platforms reportedly offer 4D CT capabilities and image reconstruction speeds up to 106 images per second.

Emphasizing enhanced connectivity, the latest version of the Intelligent Radiation Therapy (iRT) software may facilitate improved workflow efficiencies with the planning, performance and reporting for radiation therapy.

The M-PRiSM risk stratification, which incorporates MRI features, offers a significantly higher C-index, one-year AUC and two-year AUC than the 8th AJCC staging system for predicting postoperative survival for patients with pancreatic ductal adenocarcinoma.

PSMA PET offered 18 percent higher accuracy for detecting biochemical recurrence of PCa in contrast to mpMRI, according to findings from a 67-study meta-analysis.

Expanded capabilities with the body composition analysis software include automated segmentation of over 140 muscles, skeletal and organ structures from a 15–20-minute MRI.

Offering prospective SNR calculation derived from prescribed slices, the SNR Calculator reportedly facilitates a higher degree of accuracy with quantitative SNR values beyond that of calculators from device manufacturers.

Catch up on the top radiology content of the past week.

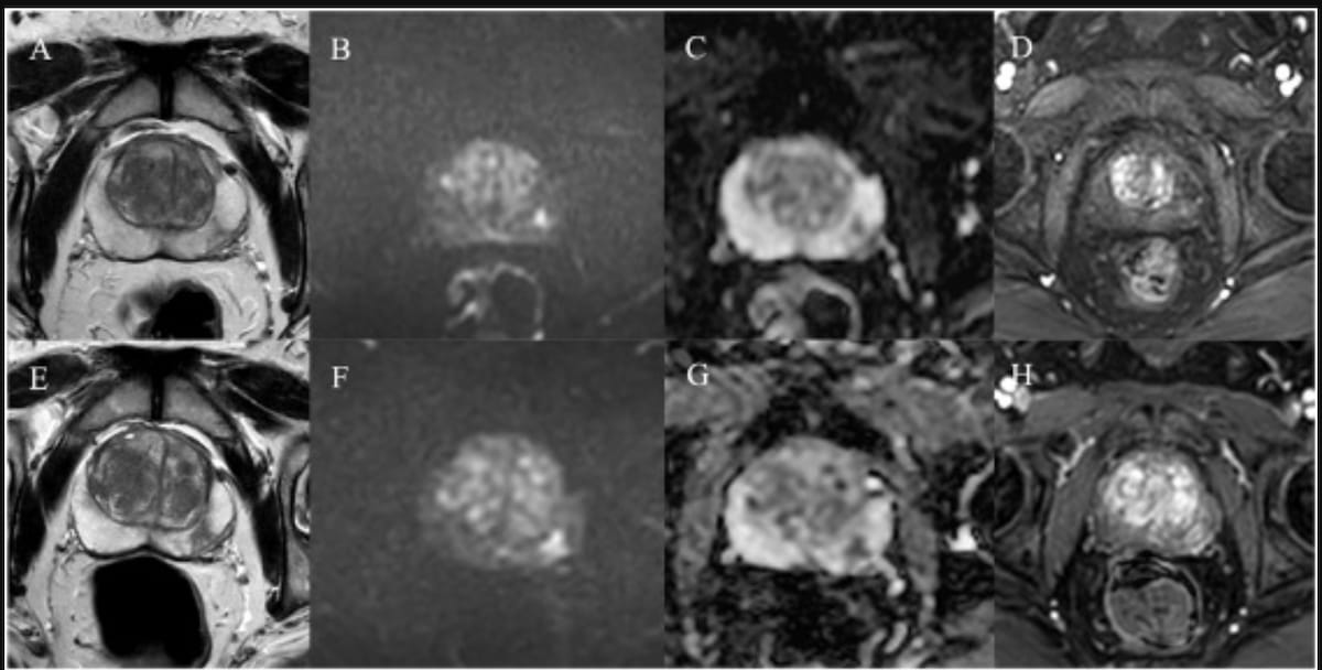
Abbreviated biparametric MRI demonstrated nearly equivalent detection rates for clinically significant and clinically insignificant prostate cancer as multiparametric MRI, according to research involving 22 centers in 12 countries.

The AI-powered Tempus Pixel software update provides T1 and T2 inline maps to augment cardiac MRI assessment.

For HER2-positive breast cancer patients with radiologic complete response on breast MRI after neoadjuvant chemotherapy (NAC), the absence of calcifications was associated with over a 13 percent higher positive predictive value (PPV) for pathologic complete response (pCR).

Circumferential aneurysm wall enhancement on MRI was associated with a 3.8-fold higher risk of intracranial aneurysm instability within a four-year period, according to a study involving over 1,350 patients.

For myocardial extracellular volume quantification, single-phase and dual-phase photon-counting CT provided over 20 percent higher correlation with cardiac MRI in contrast to dual-phase energy-integrating detector CT, according to new research findings.

In a 10-study meta-analysis examining the use of whole-body MRI for asymptomatic individuals, researchers noted a pooled cancer detection rate of 1.57 percent.

Catch up on the most-well viewed radiology content in August 2025.

Catch up on the most-well viewed prostate imaging content in August 2025.

Catch up on the top AI-related news and research in radiology over the past month.

Catch up on the top radiology content of the past week.









































