
AI
Latest News
Latest Videos

CME Content
More News

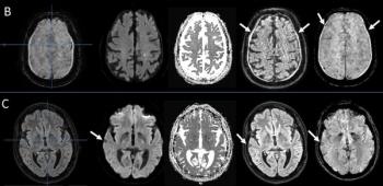
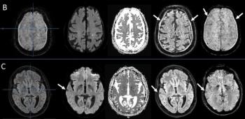
Noting a 7.4 percent incidence of motion artifacts on brain MRI scans for suspected stroke patients, the authors of a new study found that motion artifacts can reduce radiologist and AI accuracy for detecting hemorrhagic lesions.

In external validation findings from a 29-study meta-analysis, MRI-based AI had a pooled AUC of 85 percent for preoperative prediction for microvascular invasion in patients with hepatocellular carcinoma.

A fully convolutional data description (FCDD) model for identifying anomalies on breast MRI demonstrated an 84 percent AUC for detection tasks in a balanced cohort with a 20 percent malignancy prevalence and a 72 percent AUC for detection tasks in an imbalanced group with a 1.85 percent cancer prevalence.

A cloud-based and AI-native radiology operating system, MosaicOS reportedly enables the combination of diagnostic AI tools and workflow enhancements into one scalable platform.

The updated capabilities of SwiftMR include personalized scan settings within the software, artifact reduction and cloud integration.

Emerging research revealed significantly enhanced sensitivity for prostate cancer detection with adjunctive and stand-alone use of AI.

Stay updated with the latest in radiology, including PET, MRI, and AI research, plus essential insights on mammography and cardiac imaging.

EchoGo Amyloidosis, an echocardiography-based AI screening software, demonstrated a 93 percent AUROC for cardiac amyloidosis detection in a new multicenter study.

While noting no differences in sensitivity, specificity or reading time with adjunctive AI for mammography screening, the authors of a new study noted a 4 percent higher AUC and increased fixation time on lesion regions.

Catch up on the top radiology content of the past week.

The diagnostic tomographic 3D ultrasound imaging technology PIUR tUS inside will reportedly be available with select GE HealthCare Logiq systems.

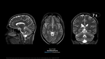
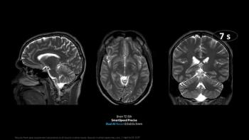
The deep learning reconstruction software reportedly facilitates accelerated MRI scanning and significantly enhanced image sharpness.


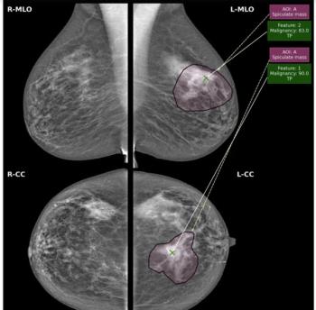
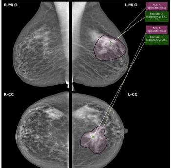
While there was a decline of AUC for mammography AI software from breast-level assessments to lesion-level evaluation, the authors of a new study, involving 1,200 women, found that AI offered over a seven percent higher AUC for lesion-level interpretation in comparison to unassisted expert readers.

Catch up on the top AI-related news and research in radiology over the past month.

Offering a cost- and resource-saving DryCool magnet technology, the Magnetom Flow.Ace MRI system reportedly requires 0.7 liters of liquid helium for cooling over the lifetime of the device in contrast to over 1,000 liters commonly utilized with conventional MRI platforms.

Artificial intelligence (AI) software had a 14 percent false negative rate in a new study involving over 1,082 women with invasive breast cancer.

Catch up on the top radiology content of the past week.

The AI software reportedly facilitates ease of use and improved accuracy in fetal ultrasound evaluations.

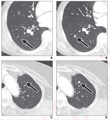
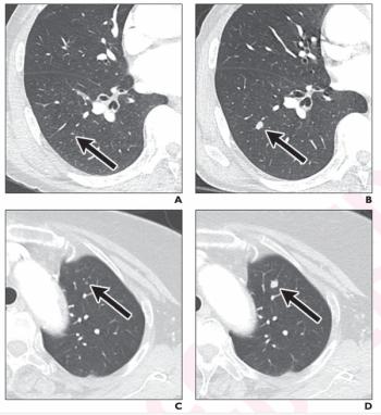
Emerging research shows that a multiple time-series deep learning model assessment of CT images provides 20 percent higher sensitivity than a delta radiomic model and 56 percent higher sensitivity than a clinical model for prognostic evaluation of ground-glass nodules.

The 14th FDA-cleared AI software embedded in the Exo Iris ultrasound device reportedly enables automated detection of key pulmonary findings that may facilitate detection of pneumonia and tuberculosis in seconds.

The use of adjunctive AI in biparametric prostate MRI exams led to 3.3 percent and 3.4 percent increases in the AUC and specificity, respectively, for clinically significant prostate cancer (csPCa) in a 360-person cohort drawn from 53 facilities.

Catch up on the top radiology content of the past week.

The AI-powered Viz Subdural Plus reportedly provides automated measurements and labeling of subdural collections, including subdural hemorrhages (SDHs), based on non-contrast CT scans.

Researchers also noted a greater than 30 percent increase in treatment management changes resulting from the use of CT-based adjunctive AI to detect lung metastases in colorectal cancer patients.











































