
Superior diagnosis with CT requires safety planning.

Superior diagnosis with CT requires safety planning.

Various findings on CT can indicate how far a patient has progressed along disease timeline.

System integrates artificial intelligence to maximize conventional and spectral CT capabilities.

Q BioMed launches Strontium89 injections for bone-related pain.

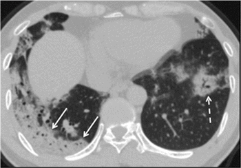
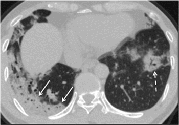
Patients with the coronavirus who develop pneumonia exhibit similar findings on chest CT scans.

American Headache Society published recommendations for when neuroimaging is most beneficial

Decade-long trial shows frequent CT screening reduces high-risk smokers’ likelihood of dying from lung cancer.

What radiologists can anticipate in dose reduction in the coming years

When used together, non-contrast simple CT and CT perfusion have higher prediction rates

Total-body PET/CT scanner combined with innovative image reconstruction method offers good-quality images of changes in cardiac cycle, opening door to additional applications.

Five-sequence ultra-fast MRI protocol provides equivalent diagnosis to head CT with acute neurological emergencies in less than five minutes.

Tel-Aviv based AI company Aidoc received FDA clearance for tool that spots strokes on brain CT scans.

Deep learning with a convolutional neural network can support better differentiation of small solid renal masses.

The latest roundup of radiology news and studies.

From the efficacy of AI as a cyberweapon to MRI for diagnosing strokes, the latest radiology news and studies you need to know.

From opinions on the value of multiple reads to new AI findings, the latest Radiology news you can’t miss.

From diagnosing renal cancer to the radiologist’s role in preventing intimate partner violence, here are the studies you shouldn’t miss this month.

CT attenuation also affected by BMI and blood cortisol levels.

Imaging method reduced non-confident reads, decreased time.

Automated robotic arm–assisted FDG PET/CT-guided real-time bone biopsy is feasible and safe.

Greater efforts needed to harmonize reporting practices.

Use of a photon-counting-detector CT for renal stones is similar to using dual-energy CT.

Patients with an initial clinical severity class of 1 also had a higher likelihood of missed injury.

Axial chest CT identifies enlargement with high specificity and reasonable sensitivity.

Imaging confirms or excludes the presence of gangrenous appendicitis with high sensitivity and specificity.