
Elad Walach, Aidoc chief executive officer, discusses recent research into global CT imaging volume fluctuations and how providers should view that data.

Elad Walach, Aidoc chief executive officer, discusses recent research into global CT imaging volume fluctuations and how providers should view that data.

Thoracic vertebrae captured in scans allows for bone mineral density measurements that can pinpoint the presence of osteoporosis.

From February to April 2020, outpatient imaging in rural areas fell 66 percent.

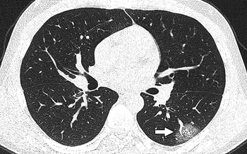
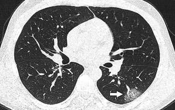
Scans reveal differences in lesion locations, mucoid impaction, and pleural effusion.

Philips thinks outside-the-box by turning shipping containers into individual CT and X-ray scan rooms.

An existing program set one London hospital up for success in managing images remotely during COVID-19.

A network of nearly 50 CT facilities and the Moscow government reveal how their collaboration is working to promptly diagnose patients with COVID-19.

Rapid ASPECTS receives clearance as first neuroimaging analysis device in computer-aided diagnostic category.

510(k) clearance applies to four critical abnormalities; two are exclusive to Qure.ai’s product.

After adjusting for traditional vascular risk factors, radiologists encourage aggressive monitoring of COVID-19 patients for blood flow changes to the brain.

Newly created peptide antagonist outperforms standard agonist imaging agent in head-to-head comparison.

Database intended to be the largest open database of COVID-19-related imaging worldwide.

Diagnostic Imaging Weekly Scan: June 26, 2020

Multisystem Inflammatory Syndrome in Children appearing in pediatric patients with COVID-19 infection and exposure.

Patients who test negative with RT-PCR show lower levels of pulmonary consolidation on chest CT, indicating earlier disease.

Radiologists using RSNA classification system largely agree on image assessments.

Scans show greater amyloid accumulation in the brains of older adults who get less than six hours sleep nightly.

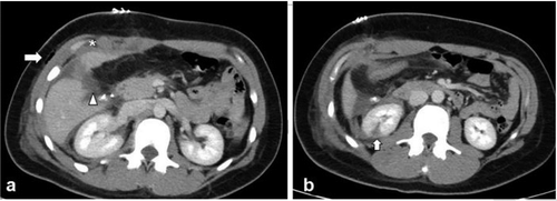
Cryoablation offers patients with early-stage kidney cancer comparable results to surgery.

UTE-MRI can be a valuable alternative in situations where repeated radiation exposure is of concern.

Johns Hopkins Medicine researchers see “untapped potential” for artificial intelligence tools.

When added to exercise electrocardiography, CTA can improve five-year risk prediction.

The modality is an effective, reliable alternative to chest CT or chest X-ray in this vulnerable population.

A five-tiered approach to cross-sectional interventional procedures can help radiologists determine which patients to treat first, minimizing likelihood of viral transmission.

Researchers from Mount Sinai examine and assess the imaging modalities used to evaluate patients positive for the virus.

Diagnostic Imaging's Weekly Scan: May 29, 2020