
Multi-modal approach maximizes imaging capabilities.

Multi-modal approach maximizes imaging capabilities.

Diagnostic Imaging's Week in Review: April 10, 2020.

Researchers outline a 5-point prep plan that could help you weather the storm.

Dr. Eliot Siegel discusses benefits, cautions, and long-term impact of using AI imaging tools during the outbreak.

Dr. Eliot Siegel discusses the role these tools play, as well as the challenges radiologists could encounter with using them.

Recommendations look to bring needed imaging equipment to facilities faster.

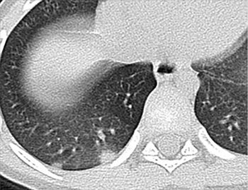
Fleischner Society outlines suggestions for when chest imaging can beneficially contribute to infection management.

CT and MRI scans show neurological impacts.

Younger patients have milder symptoms, fewer positive CT scans, and less lung involvement.

Percentage of lung opacities can be used to rate the severity of disease.

Case of acute necrotizing encephalopathy could be first of many.

CT scan and video reveal peripheral, multilobar areas of ground-glass opacity.

In locations with fewer resources, social media messaging is playing a key role in COVID-19 identification.

Study contradicts earlier research that had not shown transmission was possible.

Combining both modalities is an acceptable alternative to MRI, study finds.

Imaging of the brain stem can pinpoint assess brain stem function in patients with hearing loss.

RSNA releases a consensus statement to reduce reporting variability around the virus.

Radiologists in the United Kingdom are now using radiography to speed up COVID-19 identification.

Molecular imaging technique performs better with detection, staging, and determining treatment plans.

Recommendations touch on patient care and infection control.

Study finds virus lifespan depends on the type of material used for the contaminated surface.

Low-dose procedures and shifting in imaging are credited for the decline.

Radiology leaders share departmental policies in fight against viral spread.

Software derives biomarkers designed to monitor respiratory disease.

Siemens Healthineers-backed USARAD begins online CT scan consulting effort.