
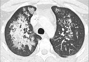
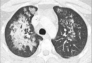
Research reveals lung findings not typically associated with viral pneumonia.

Research reveals lung findings not typically associated with viral pneumonia.

Model could help detect the virus, isolate patients, and prevent disease spread.

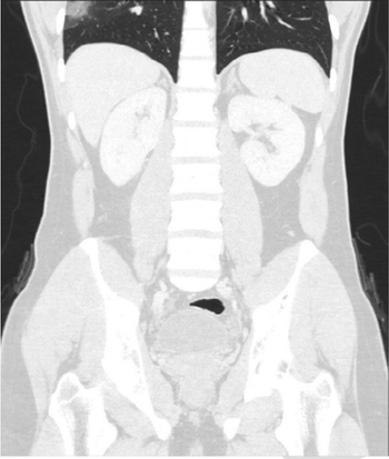
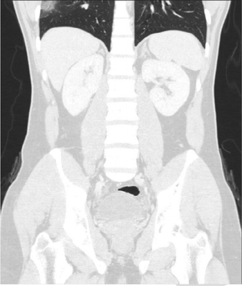
Results show COVID-19-positive patients with BMI greater than 30 are at significantly higher PE risk.

Diagnostic Imaging's Weekly Scan: May 15, 2020

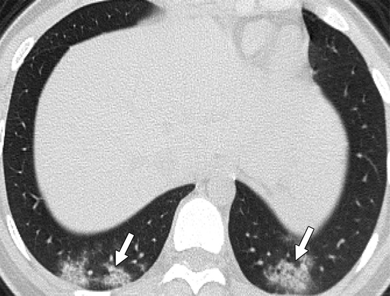
Radiologists must continue to be aware that patients obtaining scans for non-respiratory symptoms could still present findings of COVID-19.

Researchers identify 18F-PMSA-1007 as an equally effective radiopharmaceutical for detecting prostate cancer.

Algorithms can create errors in multiple imaging systems, according to new tests.

Affected patients were sicker and more likely to be admitted to the ICU.

Concentration on virus-related scans largely sidelines other imaging needs.

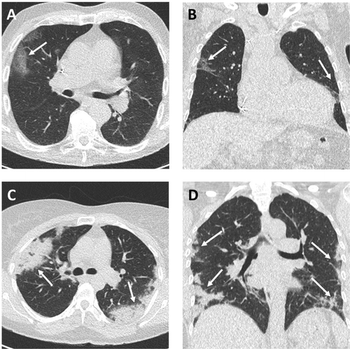
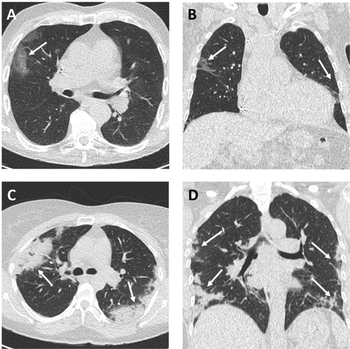
Tool pinpoints incidental findings on CT scans that contain the lung or part of the lung.

Emergency medicine expert panel outlines support for using point-of-care ultrasound with patients with suspected infection.

Side-by-side images show lung ultrasound pinpoints same findings as low-dose chest CT.

COVID-19 and other viral infections have unique imaging characteristics that can help with diagnosis, experts say.

Diagnostic Imaging Weekly Scan -- May 1, 2020

System uses ultraviolet light system to kills advanced viruses and bacteria in minutes.

Adding AI to manual reads improves accuracy, specificity, and sensitivity.

Together, RSNA and the American Society of Neuroradiology launched the largest collection of expert-annotated brain hemorrhage CT scans.

Imaging manufacturers ask agency to include recommendations from the Fleischner Society and AIUM to provider more nuanced guidance.

Expert panel developed six-category system to classify chest CTs and streamline structured reporting around COVID-19.

21-expert panel outlined 12 recommendations for when you can delay lung cancer screenings and lung nodule evaluations.

Agency outlines modifications that will and won’t be accepted without approval during the outbreak.

International expert group offers recommendations for proper imaging of younger infected patients.

An international group of radiologists and vascular specialists published recommendations for blood clot prevention, diagnosis, and treatment.

Submillisievert chest CT scans offer quick and accurate assessment, particularly in patients with symptoms more than 48 hours.

Study comparison should three-times more cancers among first responders, many of whom are asymptomatic.